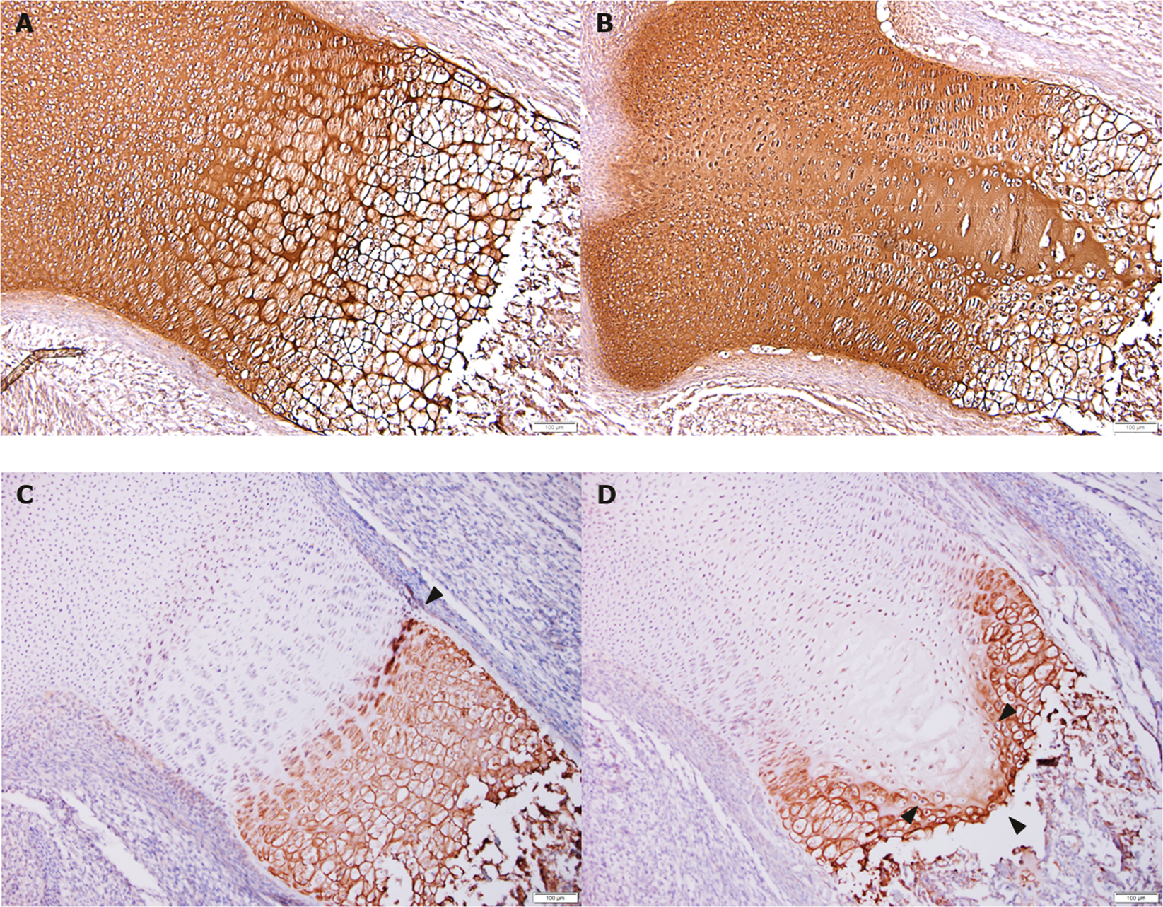
Figure 2

Immunohistochemical staining for collagen II (A,B) and collagen X (C,D) in foetal tibial growth plates. Sections stained for collagen II and X (dark brown). (A) CTRL: No histopathologic changes, normal distribution of collagen II throughout the growth plate, (B) HI-EoGest: Grade 3 changes, normal distribution of collagen II including the central area. (C) CTRL: No histopathologic changes. Peri-cellular collagen X staining between hypertrophic zone chondrocytes, clearly defining the boundary between proliferative and hypertrophic zones (arrowhead), (D) HI-EoGest: Grade 3 changes. Peri-cellular collagen X staining distally in the growth plate, no clear distinction of cell types and no central staining, resulting in a “V”-shaped staining pattern (arrowheads) pushing into hypertrophic, degenerative, and spongious zones. (Magnification: x100).