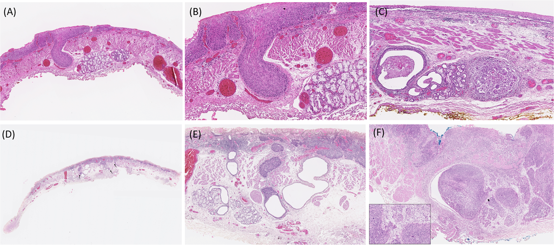
Figure 1

Histopathological examinations and characteristics of esophageal glandular ductal involvement (DI). (A) A case of intra-mucosal cancer with DI extending to the level of the submucosal layer (40x magnification); (B) The DI revealed the presence of ductal cancerization adjacent to normal submucosal glands (100x magnification); (C) A representative case of high-grade intraepithelial neoplasia with DI to the submucosal gland; (D) A case with many involved ducts. The slide of the specimen was divided into trisections. Of note, most of the involved ducts were located at the central part (arrow); (E) The DI revealed the presence of ductal cancerization accompanied by non-neoplastic ductal epithelium lined by a single layer of cuboidal cells and associated with subsequent esophageal ductal dilatation; (F) A case of DI in which the cancer cells invaded through the ductal structure (arrow). The area of invasion in higher magnification was shown in the inset.