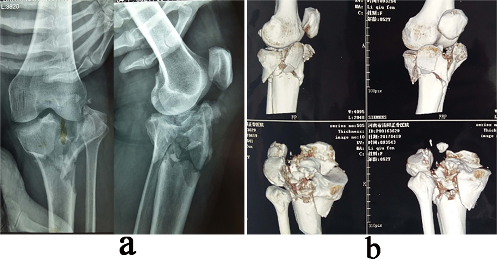
Figure 2

A 45-year-old female patient with an old and complex tibial plateau fracture. (a) Preoperative X-ray film showing the left tibial comminuted fracture (Schatzker type V). (b) Three-dimensional CT images of the fracture showing a complex tibial plateau fracture.