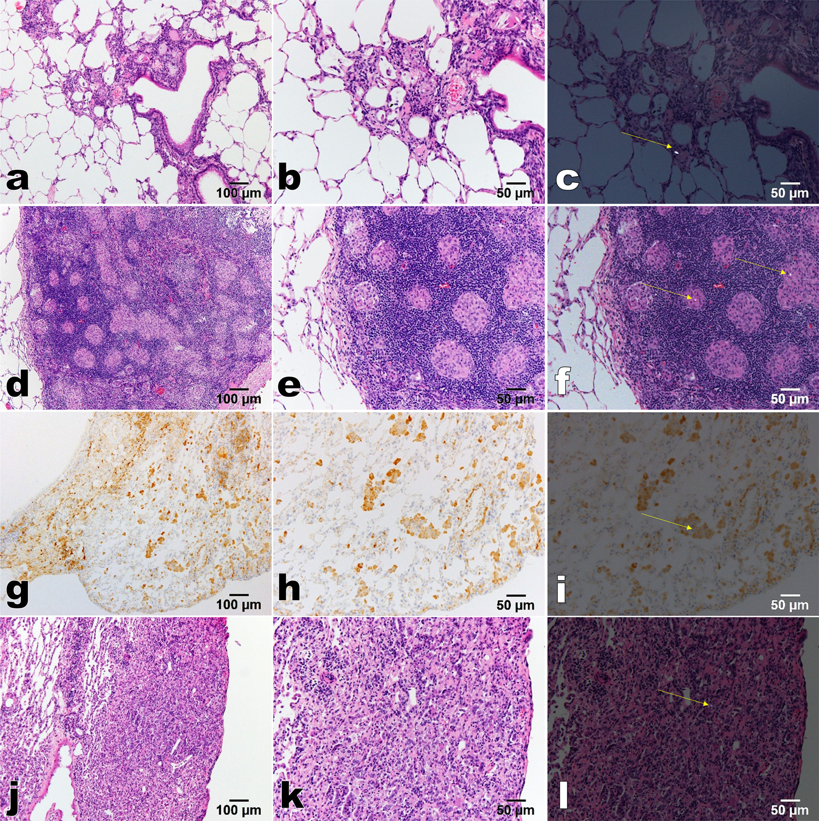
Figure 1

Quartz particles in the lungs of rats 95–96 weeks after i.t. (group 96w-quartz). (a–f,j–l), H&E staining; (g-i), immunohistochemical staining of CD68; (a,d,g,j), low magnification (100×); (b,c,e,f,h,i,k,l), high magnification (200×); (c,f,i,l), polarisation microscopy (yellow arrow, quartz particle). (a-c), In the fibrosis area; (d–f), in the granulation tissue; (g–i), in a macrophage; (j–l), in the adenoma.