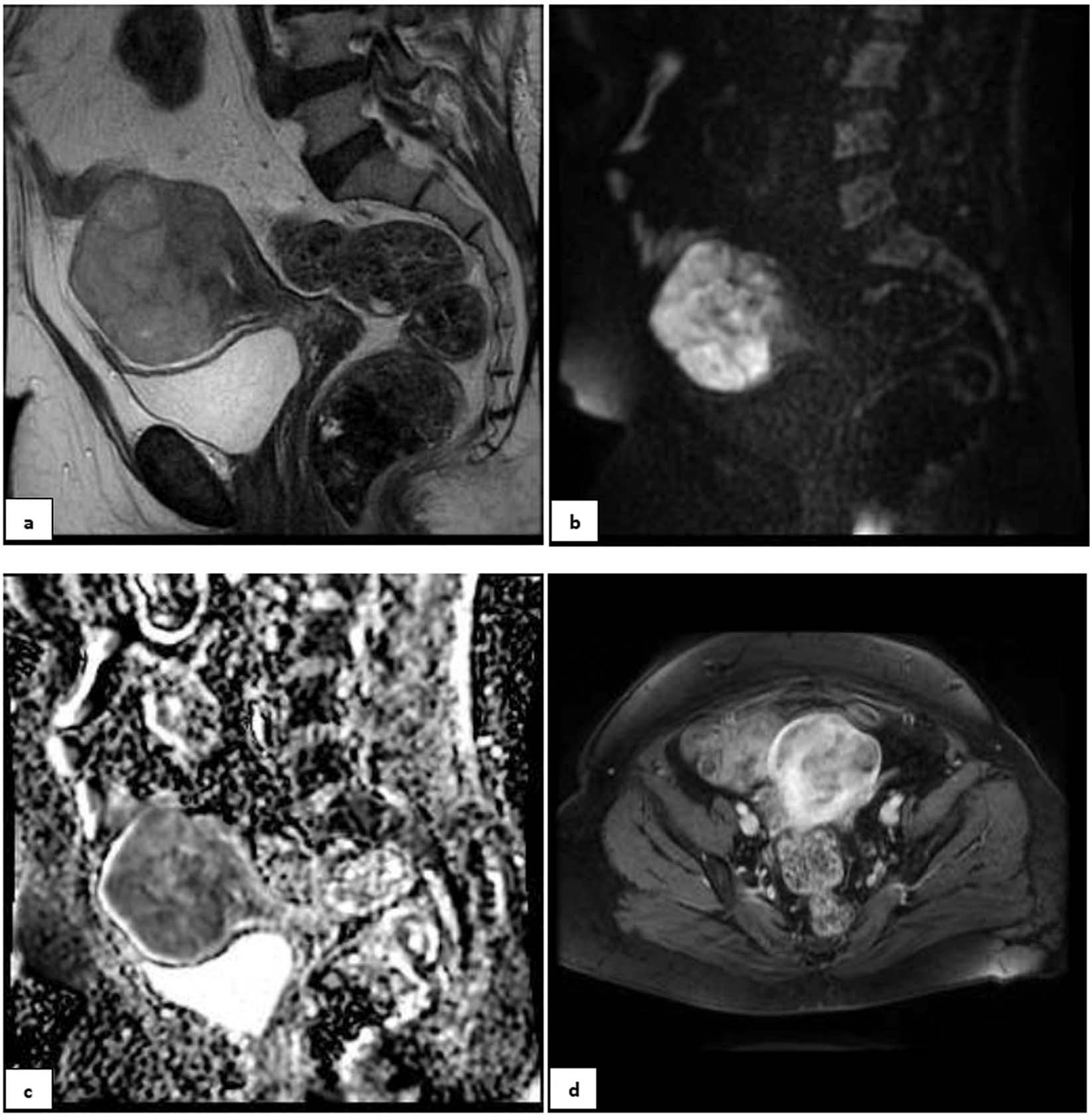
Figure 3

A 55-year-old postmenopausal patient with 3 months of abnormal uterine bleeding and a hypervascular myometrial mass on her ultrasound. (a) Sagital T2 MR-image detected a large predominantly hyper-signal lesion in anterofundal myometrium with extension to endometrial canal; Tumor-Myometrial Contrast (TM) Ratio = 1.98; T2-scaled Ratio = 1.01 and T2 map = 81. (b) Sagital-DW image and (c) ADC revealed restriction with mean ADC of 0.72 mm/s2. (d) Axial post contrast T1 image in equilibrium phase showed the mass has central necrosis and Tumor-Myometrium Contrast Enhanced (TMCE) Ratio = 1.1. If we put this sample data in either of simple or complex decision-tree, the pathology could be predicted as “malignant”. Eventually, the histo-pathological exam confirmed malignancy, a high grade sarcoma.