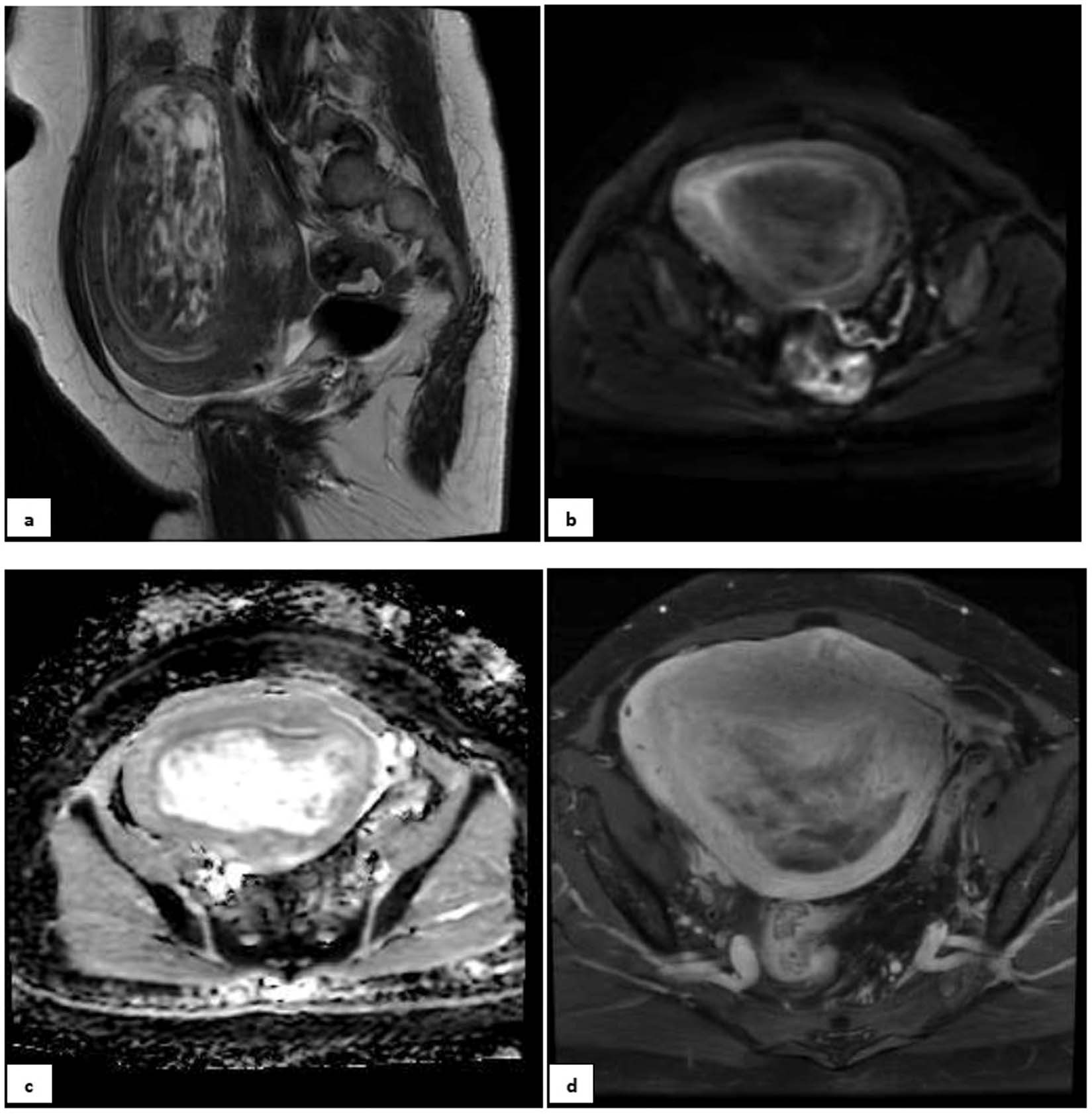
Figure 4

A 32-year-old nulliparous patient with 6 months of abnormal uterine bleeding and a heterogeneous myometrial mass on her ultrasound. (a) Sagital T2 MR-image detected a large predominantly hyper-signal lesion in posterofundal myometrium with anterior endometrial displacement; Tumor-Myometrial Contrast (TM) Ratio = 0.83; T2-scaled Ratio = 0.2 and T2 map = 42. (b) Axial DW image and (c) ADC revealed no evidence of restriction with mean ADC of 1.3 mm/s2. (d) Axial post-contrast T1 image in equilibrium phase showed the mass with mild enhancement significantly less than myometrium and without any central necrosis. Tumor-Myometrium Contrast Enhanced (TMCE) Ratio = −0.64. If we put this sample data in either of simple or complex decision-tree, the pathology could be predicted as “benign”. Eventually, the histo-pathological exam confirmed a benign tumor, degenerated leiomyoma.