Figure 6
From: The effect of bone inhibitors on periosteum-guided cartilage regeneration

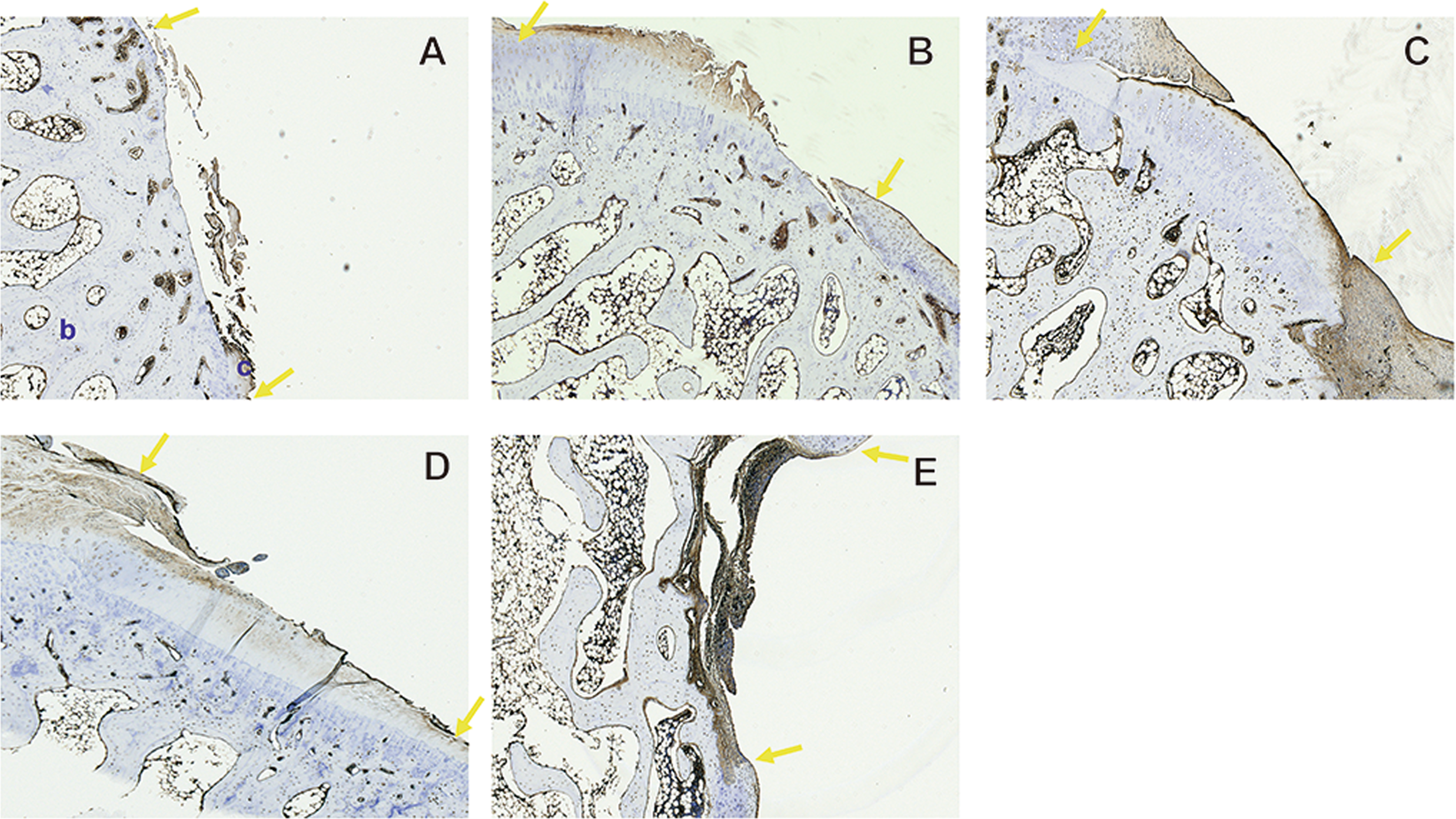
The expression of LPR4 in neo-cartilage tissue in the (A) control group, (B) nonvascularized group, (C) vascularized group, (D) vascularized + Ful group and (E) vascularized + IL1β group. (F). The area between two yellow arrows indicates the cartilage defect region. c: cartilage tissue; b: bone tissue. Sample size: n > 4. Scale bar = 200 μm.