Figure 1

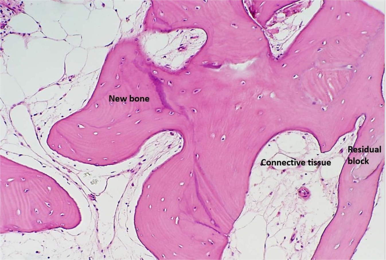
Photomicrograph of a bone biopsy when block-graft was used. Residual block allograft in close contact with newly formed bone (Osteocyte in lacuna) and connective tissue. (Hematoxylin -Eosin staining ×200 magnification).

Photomicrograph of a bone biopsy when block-graft was used. Residual block allograft in close contact with newly formed bone (Osteocyte in lacuna) and connective tissue. (Hematoxylin -Eosin staining ×200 magnification).