Figure 2

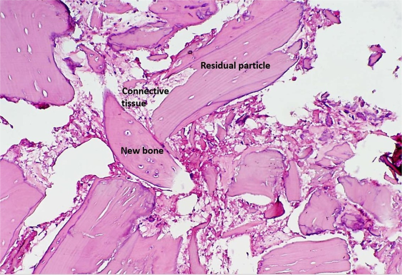
Photomicrograph of a bone biopsy when particulated-graft was used. Residual allograft particles in close contact with newly formed bone (Osteocyte in lacuna) and connective tissue. (Hematoxylin -Eosin staining ×200 magnification).

Photomicrograph of a bone biopsy when particulated-graft was used. Residual allograft particles in close contact with newly formed bone (Osteocyte in lacuna) and connective tissue. (Hematoxylin -Eosin staining ×200 magnification).