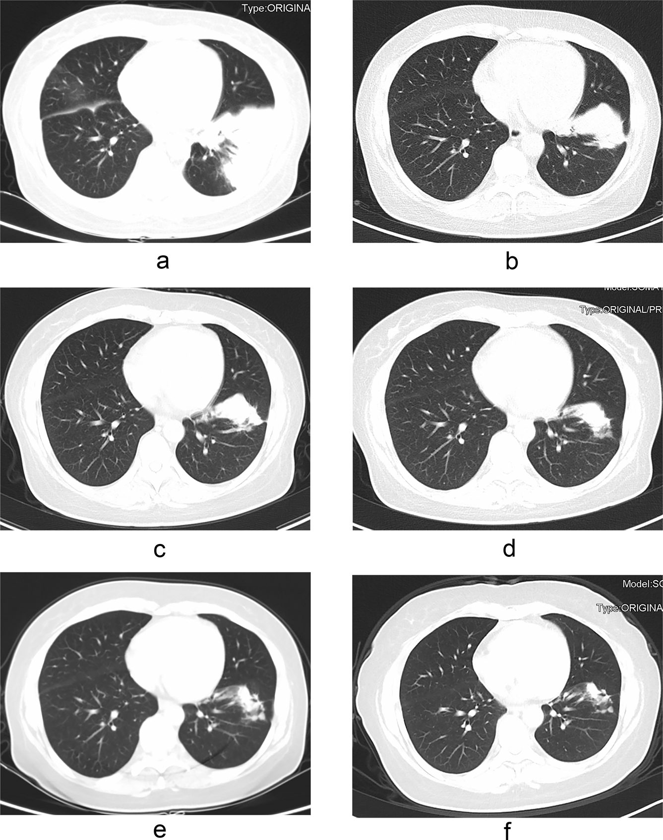
Figure 2

Pulmonary cryptococcosis in a 42-year-old woman with nephrotic syndrome and endometrial cancer after hysterectomy. CT imaging shows patchy consolidation in the left lower lobe of the lung (a). The lesion was significantly reduced after two months of treatment with fluconazole/voriconazole plus 5-fluorocytosine (b). The lesion continued to shrink after five months of treatment (c). The drug was discontinued after 13 months of treatment (d). The focus continued to shrink and there were still irregular soft tissue mass after 16 months (e) and 29 months (f) of drug withdrawal.