Figure 8

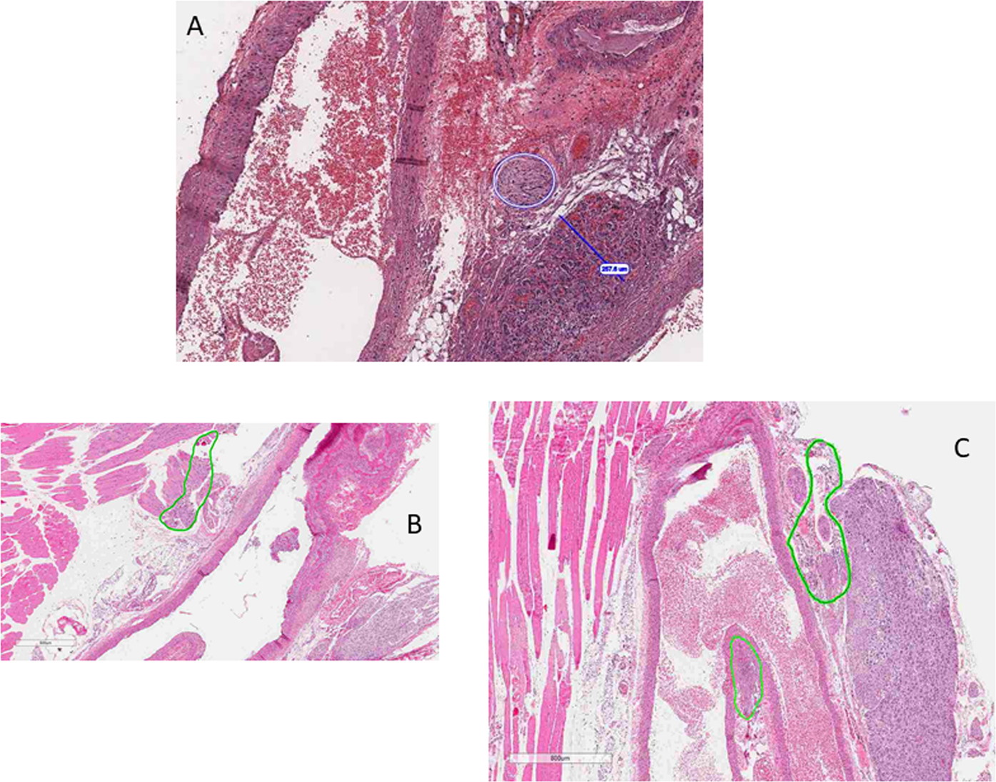
DMUA-induced damage to the carotid body. (A) Single shot of FUS delivered using the DMUA system typically induced a lesion of 257 µm. The lesion can be seen either as one (B) or two on each side of the blood vessel (C).

DMUA-induced damage to the carotid body. (A) Single shot of FUS delivered using the DMUA system typically induced a lesion of 257 µm. The lesion can be seen either as one (B) or two on each side of the blood vessel (C).