Figure 1
From: Roles of Elm1 in antifungal susceptibility and virulence in Candida glabrata

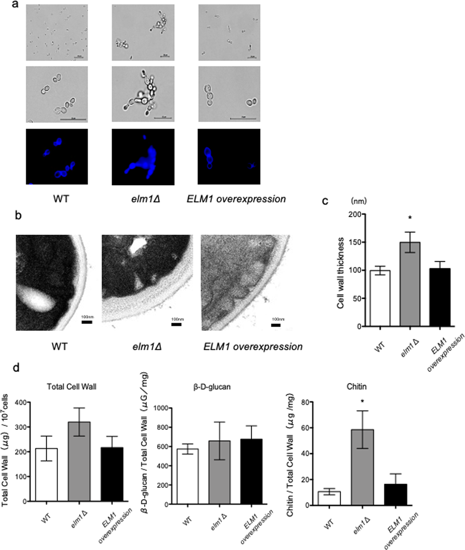
Cell morphology, cell-wall thickness, and cell-wall components. (a) Logarithmic phase C. glabrata cells grown in SC-trp medium at 30 °C were stained with Calcofluor white. Stained cells were observed by microscopy using bright-field and BZ-X filter for DAPI. C. glabrata strains: WT, TG11; elm1Δ, TG352; and ELM1-overexpression, TG353. Scale bars, 20 μm. (b,c) Logarithmic phase C. glabrata cells were observed by TEM. Scale bars, 100 nm. Cell-wall thickness was determined by measuring the thickest site in 50 randomly selected cells. *P < 0.0001, one-way analysis of variance. (d) Measurement of total cell-wall, β-D-glucan, and chitin contents in C. glabrata cells. Data represent the results of at least three independent experiments. Error bars represent standard deviations. *P = 0.0018, one-way analysis of variance.