Figure 3
From: Clinical relevance of B7H3 expression in retinoblastoma

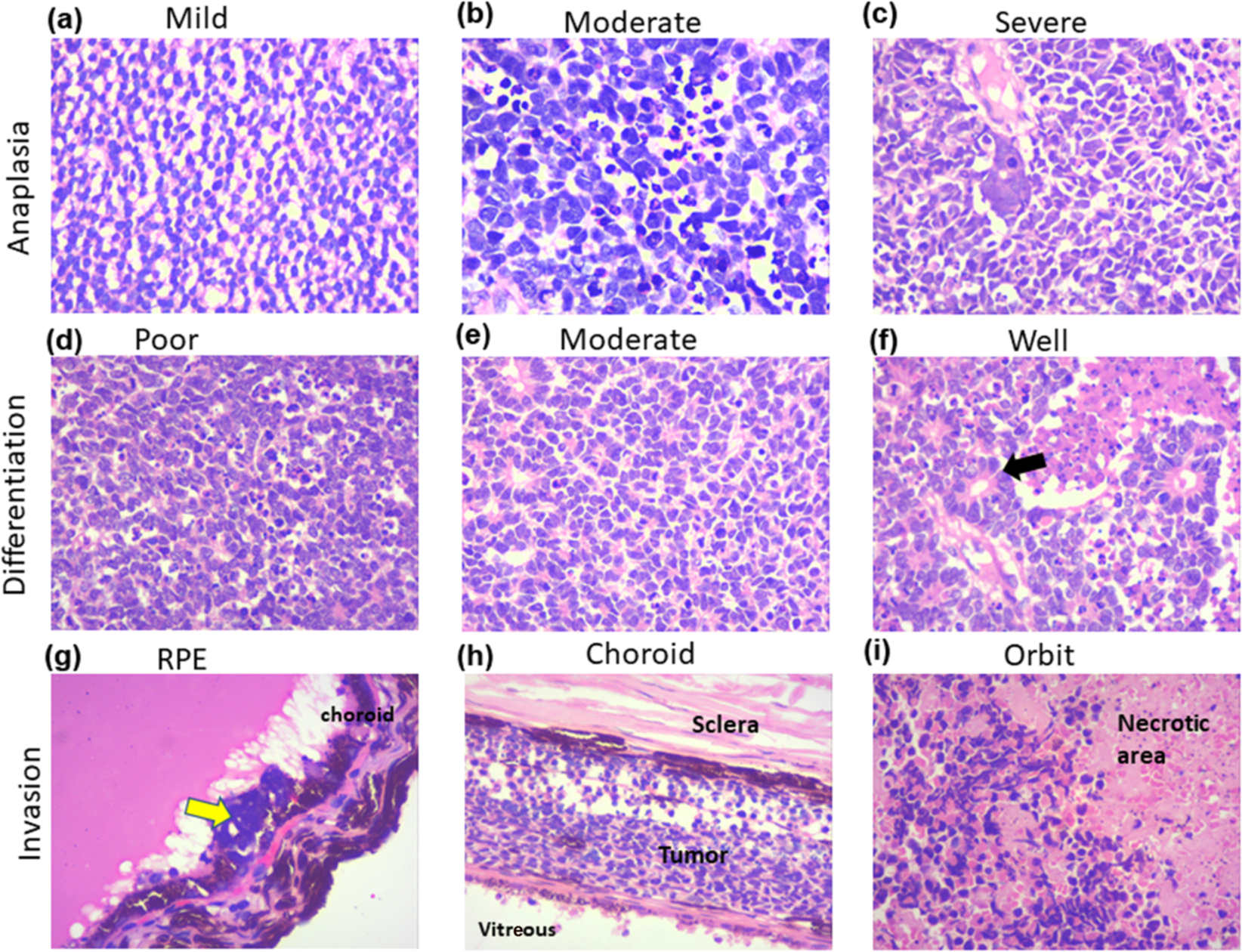
H& E Images of primary retinoblastoma tumors. H and E staining of primary retinoblastoma tumors showed different grades of anaplasia viz: mild, moderate, severe (a–c). Primary RB tumors based on their differentiation status were classified either as poor, moderate or well differentiated (d–f). The RB tumors invaded non- neural structures such as RPE, choroid and orbit (g–i). Black arrow (in panel f) shows Flexner wintersteiner rosettes in a well differentiated primary RB tumour. Yellow arrow (in panel g) shows tumour cells invading RPE.