Figure 4
From: Innovation of EUS-guided transmural gallbladder drainage using a novel self-expanding metal stent

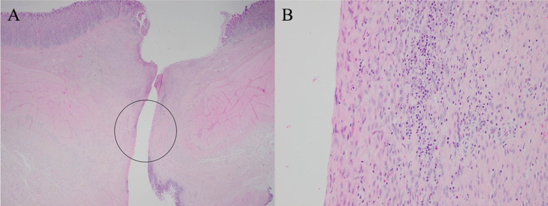
Microscopic findings of necropsy showing the remodeling of tissue around cholecysto-gastric fistula by wound healing. (A) Loss of muscle tissue around the fistula tract (hematoxylin and eosin stain, × 12.5). (B) Fibroblast hyperplasia with chronic inflammatory cell infiltration (hematoxylin and eosin stain, × 200).