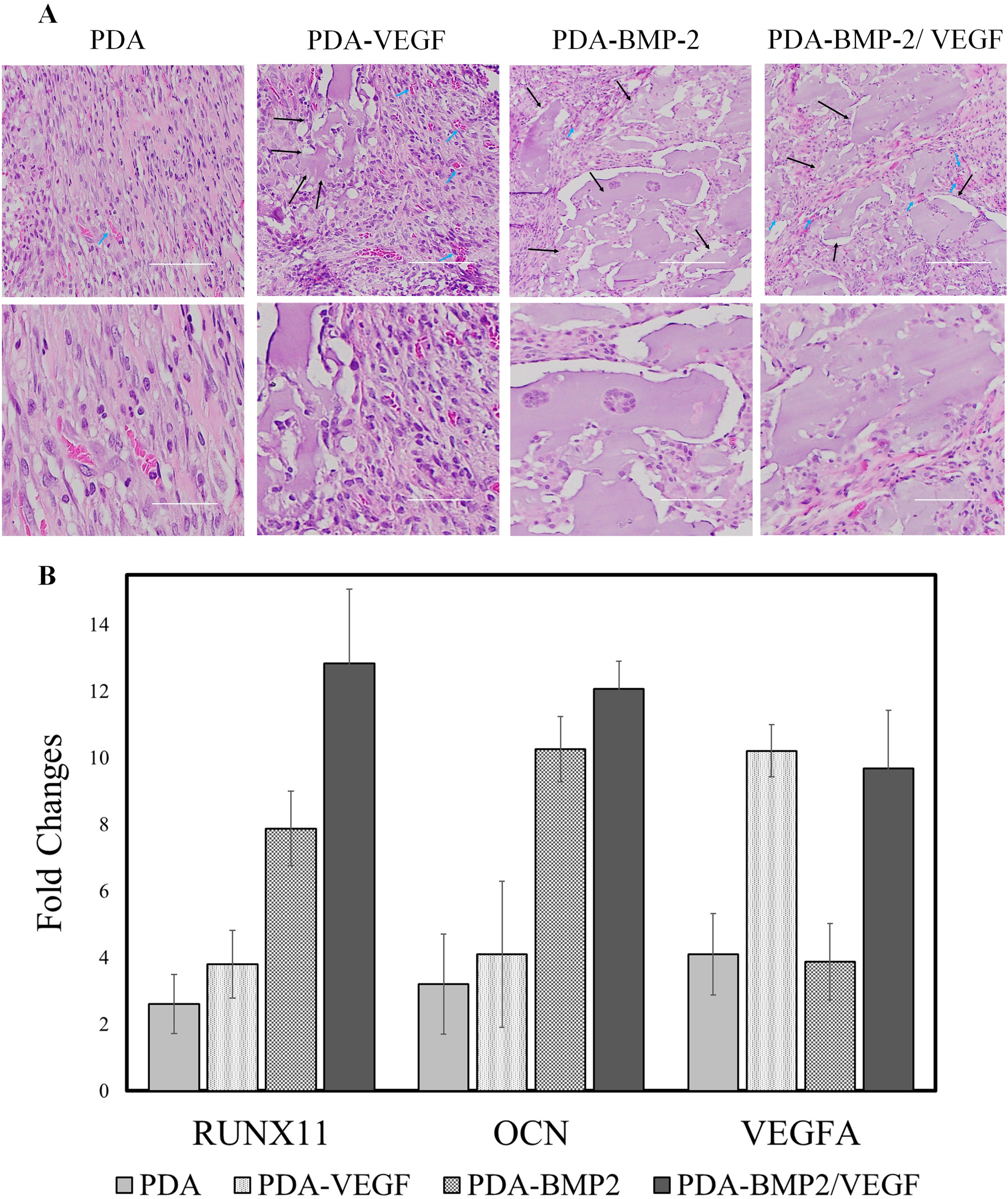
Figure 5

(A) Hematoxylin and eosin staining of sections from decalcified gel matrices loaded with cell-laden microcarriers: PDA-treated (as control group), VEGF-encapsulated, BMP‐2 conjugated, and VEGF-encapsulated microcarriers conjugated with BMP-2 after 6 weeks subcutaneous implantation. (B) Real-time PCR analysis for RUNX2, OCN and ALP after 6 weeks subcutaneous implantation.