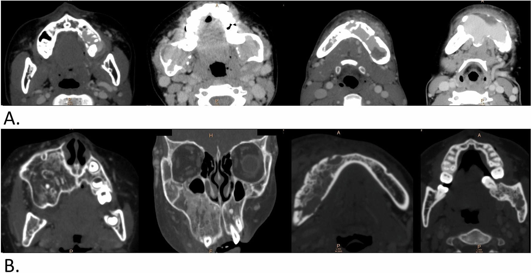
Figure 3

Enhancement in the cancellous bone on contrast-enhanced CT and manifestations of j-AVMs. Enhancement (a) centred on the root of the left first molar in the maxilla; the cancellous bone of the bilateral mandibular ramus; the anterior and posterior region of the mandible on the left side; the anterior region of the mandible with destruction and penetration of the cortical bone. (b) Irregular hyperosteogeny, with disordered and heterogeneous bone density and structure on contrast-enhanced CT and manifestations of j-AVMs. Irregular hyperosteogeny involves the whole maxilla of the left side; buccal cortex of the right mandible; area around the root of the teeth.