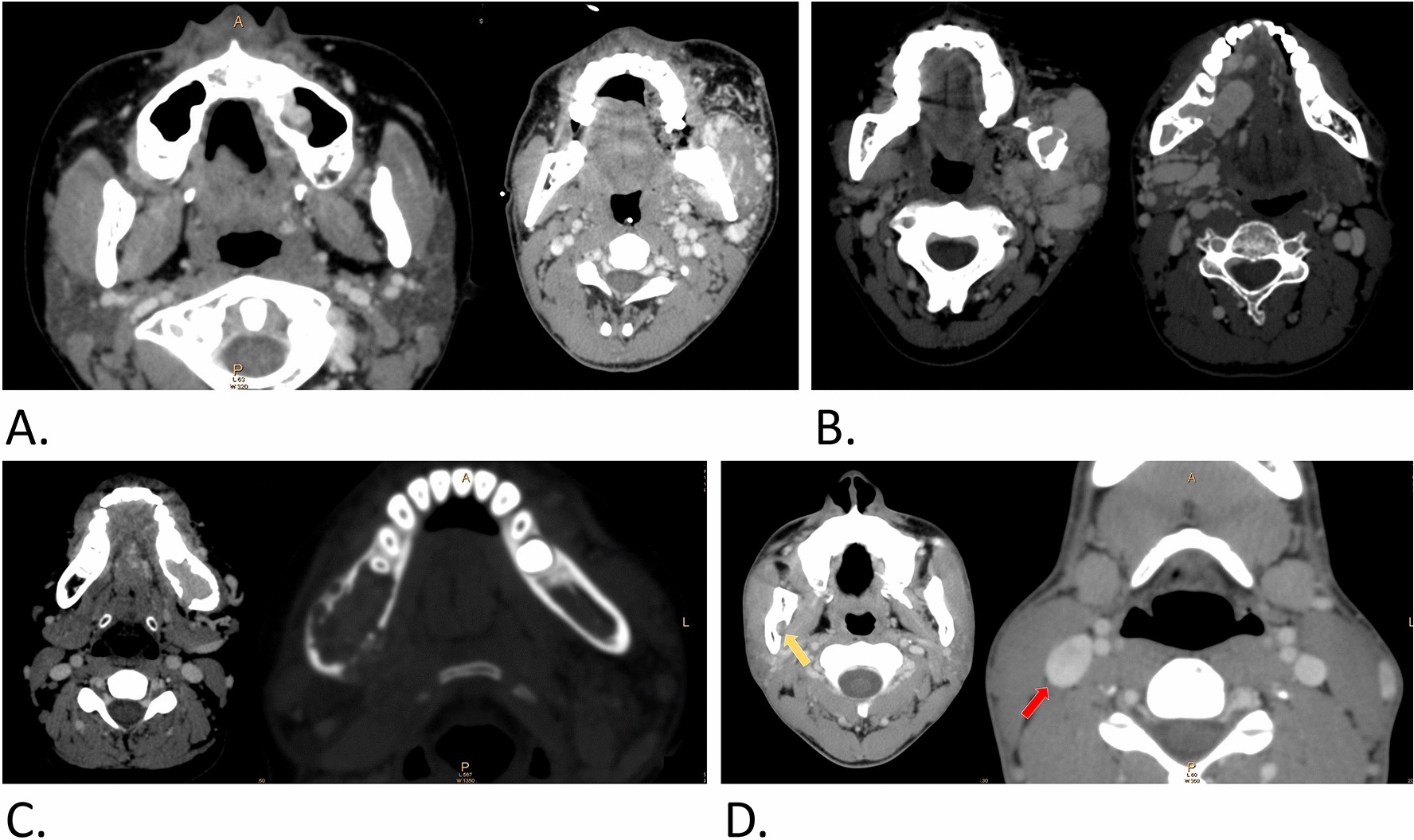
Figure 4

Other manifestations on contrast-enhanced CT of j-AVMs. (a) Involvement of the adjacent maxillary sinus and soft tissue. (b) Enlarged and tortuous draining veins showing abnormal arterial enhancement located inside or adjacent to either side of the jaw. (c) Signs of penetration of large vessels breaking through normally structured cortical bone. (d) Enlarged and wider mandibular foramen (yellow arrow) and enlarged external jugular vein (red arrow) compared with those on the contralateral side.