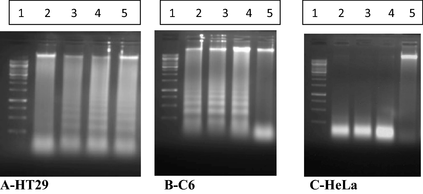
Figure 7

A representative outcome shows the bands of 2, 3 and 4 on internucleosomal DNA fragmentation act in cancer cells. By growing C6, HeLa, and HT29 cells were incubated with the molecules at 37 °C for overnight, DNA molecule was isolated in this part, and DNA fragmentation was visualized by agarose gel electrophoresis. All compounds induced DNA fragmentation. A-HT29: 1, DNA standard; 2, HT29 Control; 3, HT29 + 2; 4, HT29 + 3; 5, HT29 + 4. B-C6: 1, DNA standard; 2, C6 + 2; 3, C6 + 3; 4, C6 + 4; 5, C6 Control. C-HeLa: 1, DNA standard; 2, HeLa + 2; 3, HeLa + 3; 4, HeLa + 4; 5, HeLa Control.