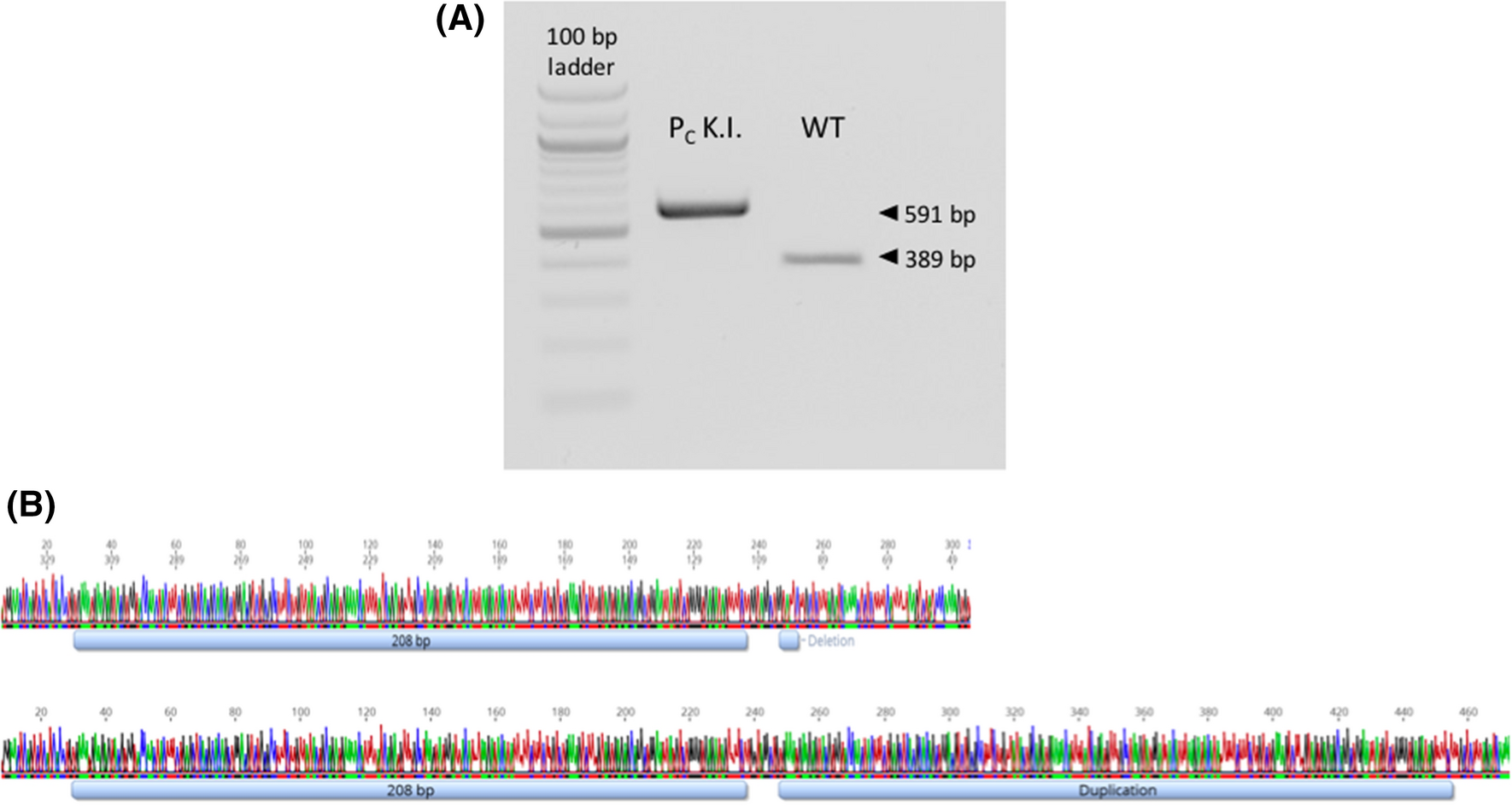
Figure 5

Genomic analysis of fetus Pc K.I. PCR analysis with Pc-specific primers (btHP-F1 and btHP-R2) revealed the integration of the Pc variant into the HF genome (A). DNA from the horned HF donor bull served as the wildtype control. Sanger sequencing chromatograms (B) show horned variant of the donor bull (top) and the Pc variant of the edited fetus (bottom).