Figure 2

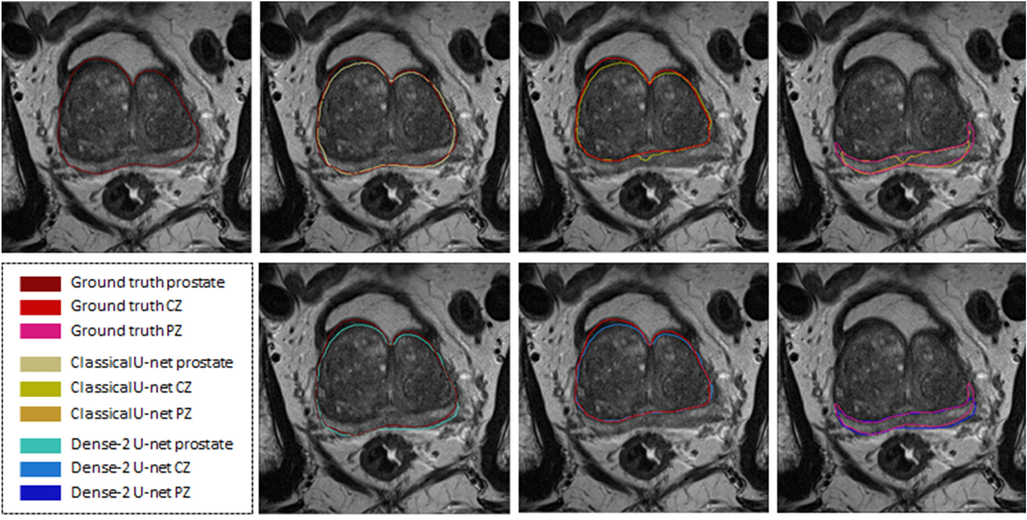
Segmentation results of the classical (first row) and Dense-2 U-net (second row) algorithms. From left to right, ground truth, prostate, CZ and PZ.

Segmentation results of the classical (first row) and Dense-2 U-net (second row) algorithms. From left to right, ground truth, prostate, CZ and PZ.