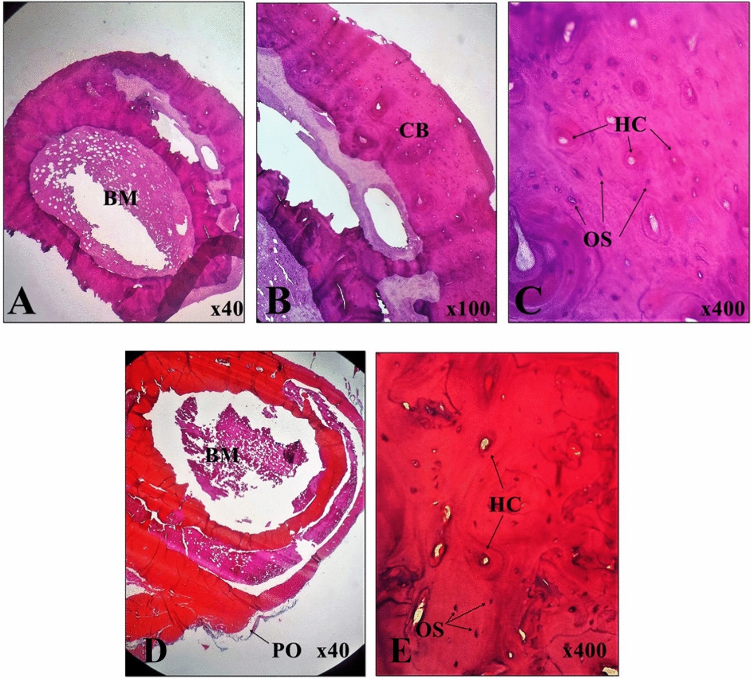
Figure 10

Histopathological section of the positive control group of normal femoral bone without any defect. BM bone marrow, HC Haversian canal, OS osteocyte, CB compact bone, PO periosteal layer, (A–C) H&E staining, (D,E) MT staining.

Histopathological section of the positive control group of normal femoral bone without any defect. BM bone marrow, HC Haversian canal, OS osteocyte, CB compact bone, PO periosteal layer, (A–C) H&E staining, (D,E) MT staining.