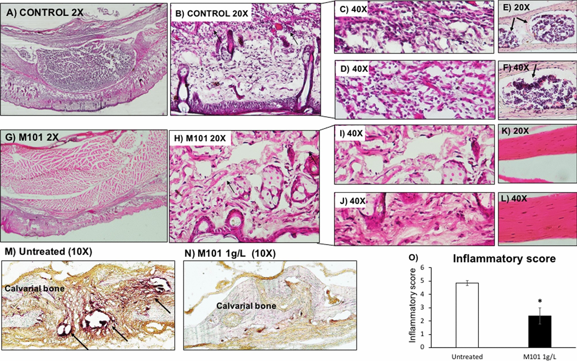
Figure 11

M101 reduces P. gingivalis-induced inflammation-mediated bone resorption in vivo. Inflammatory score assessment on histological sections of Pg-induced subcutaneous lesion (A) untreated control ×2, (B) soft tissue ×20, (C,D) soft tissue ×40, (E) calvarial bone ×20, (F) calvarial bone ×40, (G) lesion treated by M101 (1 g/L) ×2, (H) soft tissue ×20, (I,J) soft tissue ×40, (K) calvarial bone ×20, (L) calvarial bone ×40, (M) untreated control ×10 (TRAP assay), (N) M101-treated lesion ×10 (TRAP assay), (O) inflammatory score. Data are expressed as the mean ± SD. *Difference versus untreated subcutaneous inflammatory calvarial lesions’ inflammatory score, p < 0.05.