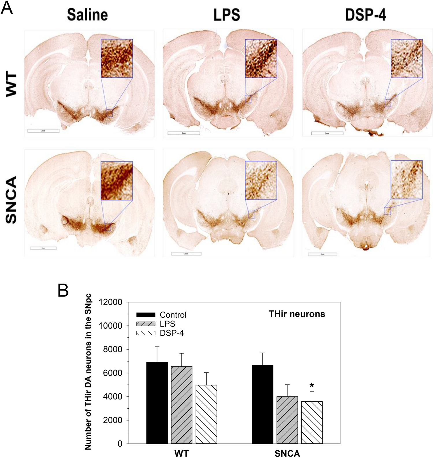
Figure 2

Immunohistochemistry. Mice were given a single injection of LPS (2 mg/kg) or DSP-4 (50 mg/kg), and brains were collected 13 months after administration. (A) Brain sections stained with anti-TH antibody (magnitude 4X), the THir dopamine neurons in SNpc were enlarged (magnitude 200 ×). (B) The stereological counts of THir DA neurons in the SNpc. *Significantly difference from genotype control, p < 0.05.