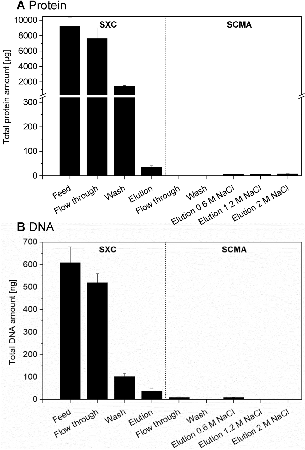
Figure 4

Impurity removal during SXC and SCMA with preceding nuclease treatment. Shown is the total amount of (A) protein and (B) DNA in individual fractions resulting from SXC (pH 9) of nuclease treated 1a HCV (material shown in Fig. 3) and consecutive SCMA. In the cases where no bars are visible, protein and DNA amounts were below the limit of detection of the assays (25 pg/mL for the DNA and 0.5 µg/mL for the protein assay).