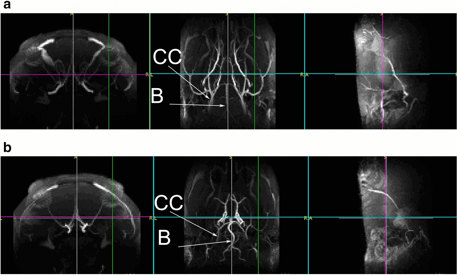
Figure 1

MRI validation of common carotid artery ligation 5 weeks after the occlusions. Representative image from horizontal view of a sham-operated rat (a) and an operated rat (b) (CC: arteria carotis communis; B: arteria basilaris). After the occlusion of common carotid arteries, the basilar artery was thickened (b).