Figure 4
From: Chi hotspot control of RecBCD helicase-nuclease by long-range intramolecular signaling

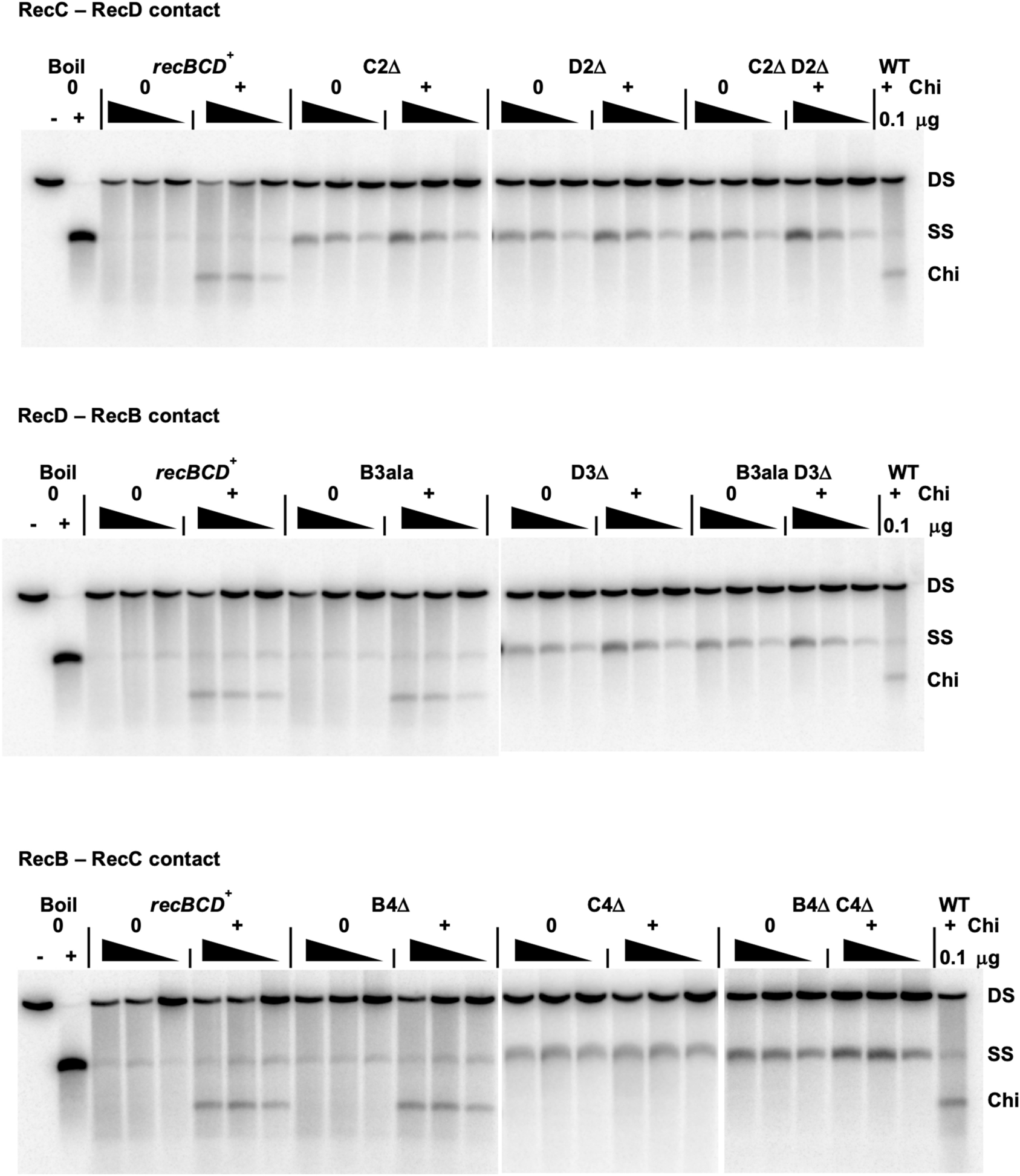
RecBCD contact-point mutants retain DNA unwinding activity but have reduced or undetectable cutting of DNA at Chi hotspots. Extracts of recBCD+ (wild type or WT; 0.3, 0.1 or 0.03 μg protein) and the indicated mutants (1, 0.3 or 0.1 μg protein) were assayed for unwinding and cutting of linear pBR322 DNA (4.3 kb long) with or without a Chi site (χ+F225) 1470 bp from the 5′ [32P]-labelled DNA end. Note that the Chi-cut species and ss DNA are reaction intermediates and their observed amount is not necessarily a linear function of enzyme amount. ds substrate (DS), unwound ss DNA (SS), and Chi-cut DNA (Chi) are indicated. Each right panel was run below the left panel on the same gel; the two are separated by a white space. Additional lanes were removed from the white space between C4Δ and B4Δ C4Δ.