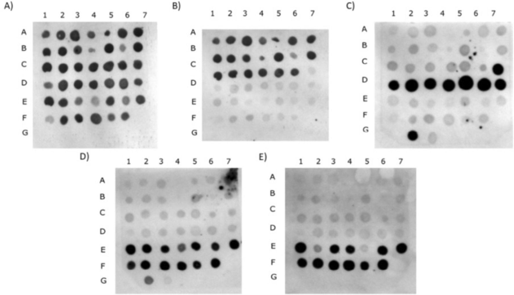
Figure 3
From: Subspecies-specific sequence detection for differentiation of Mycobacterium abscessus complex

Dot blot analysis of chromosomal DNA hybridization with MABC. The isolated DNA was placed on Hybond-N + membrane in the following order: A1–C6 M. abscessus subsp. abscessus strains, C7–D7 M. abscessus subsp. bolletii strains, E1–F6 M. abscessus subsp. massiliense strains, G2–G3 M. chelonae, G4 M. fortuitum, G5 M. porcinum. The blots were hybridized with labelled probes targeting (A) MABC-s-s, (B) abs-s-s, (C) bol-s-s, (D) mas1-s-s, (E) mas2-s-s.