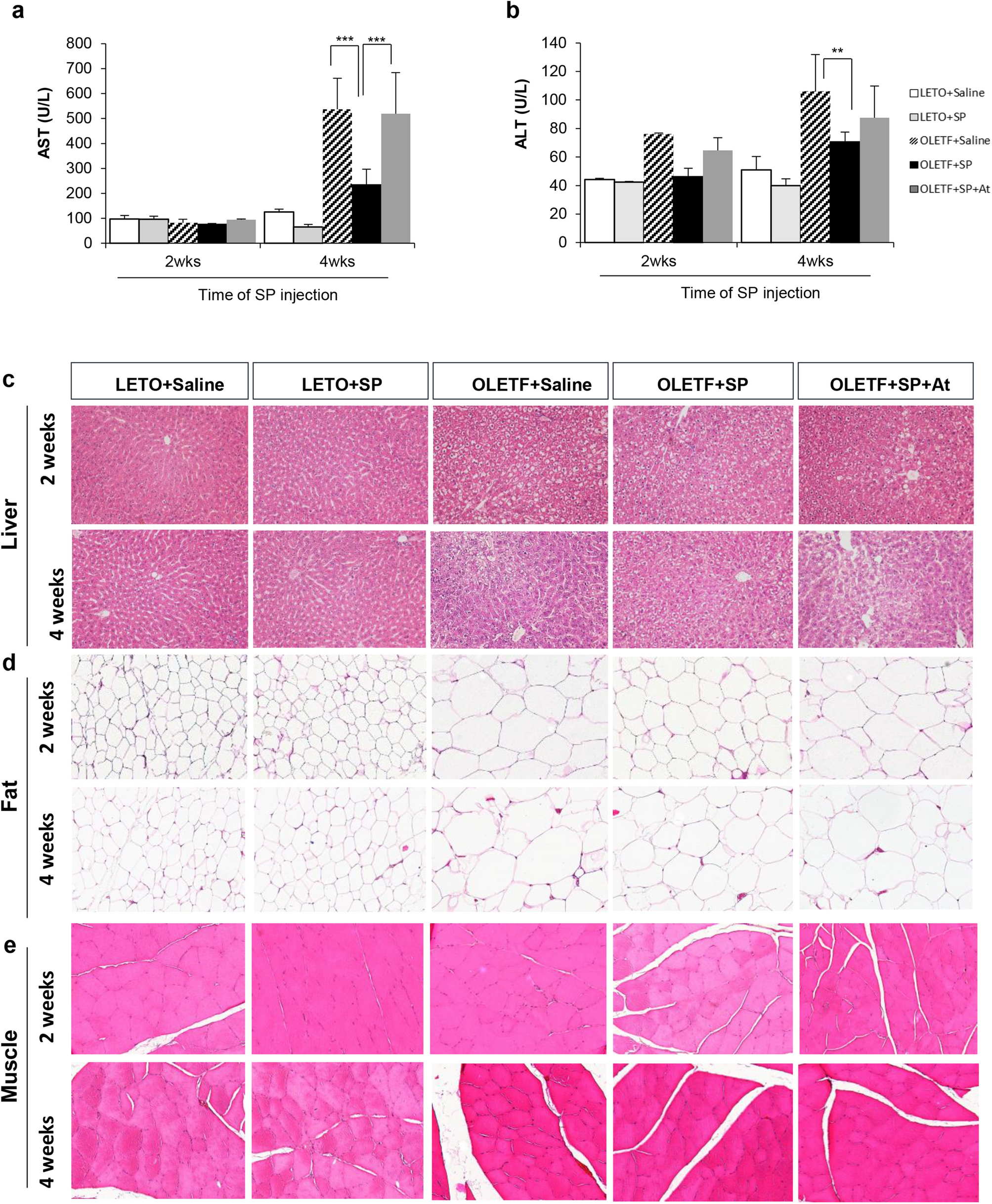
Figure 4

SP blocks the injury of target tissues with insulin resistance. (a, b) AST or ALP in serum was determined at 2 and 4 weeks post SP treatment. c-e, Histological analysis for target tissue that control glucose level. (c) Liver, (d) fat and (e) muscle. p values of less than 0.05 were considered statistically significant ( **p < 0.01, ***p < 0.001). At: NK-1R antagonist. N = 10/group.