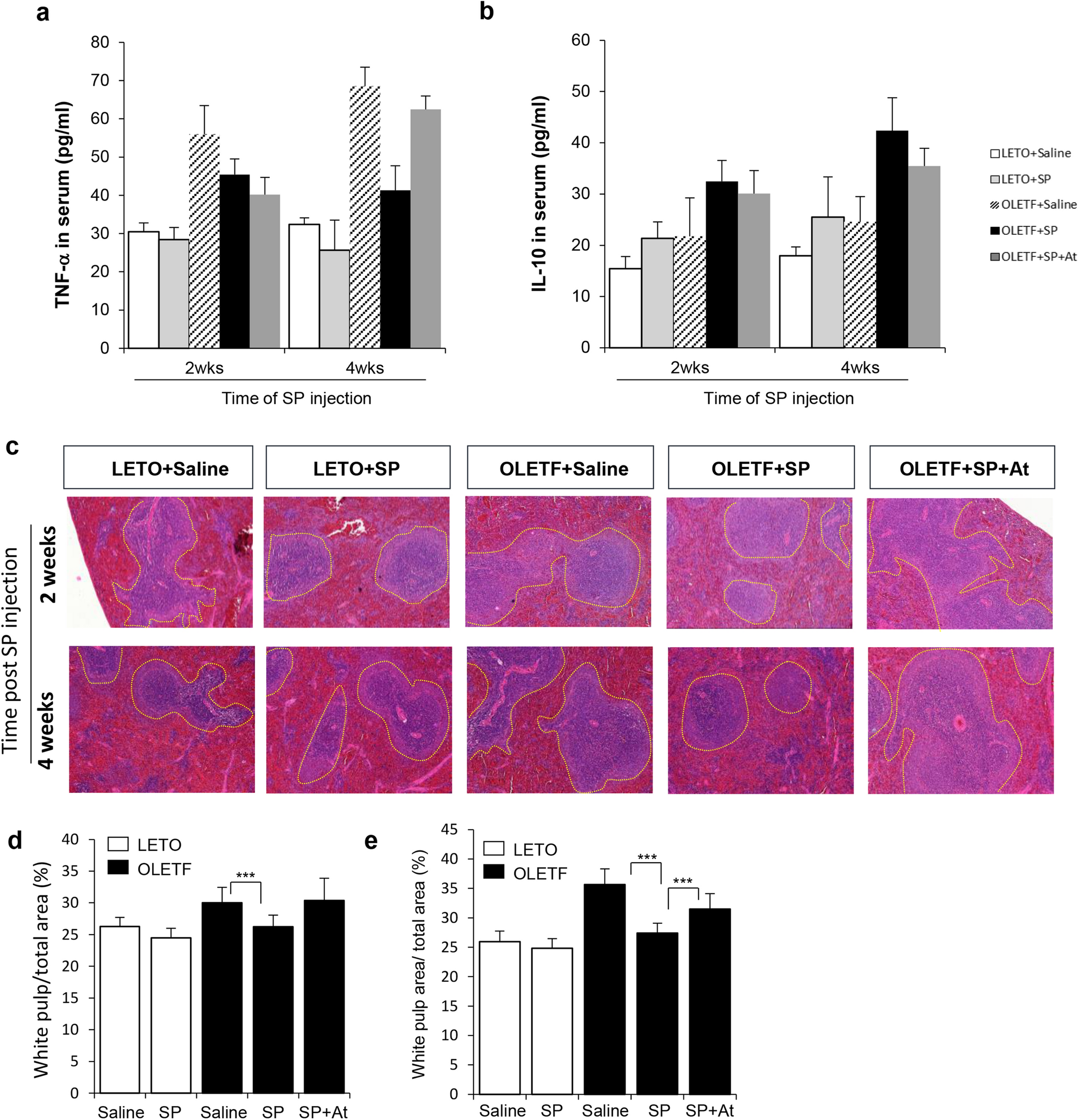
Figure 5

SP suppresses T2DM-induced chronic inflammation. (a, b) To check the effect of SP on systemic inflammation, serum cytokine, TNF-α (a) and IL-10 (b) were measured. (c) H&E staining for spleen from LETO or OLETF with SP. Yellow dotted line: germinal center. (d, e) The germinal center was represented as a percentage of total spleen area. 2 week (d) and 4 weeks (e) after SP injection At: NK-1R antagonist. N = 10/group.