Figure 15

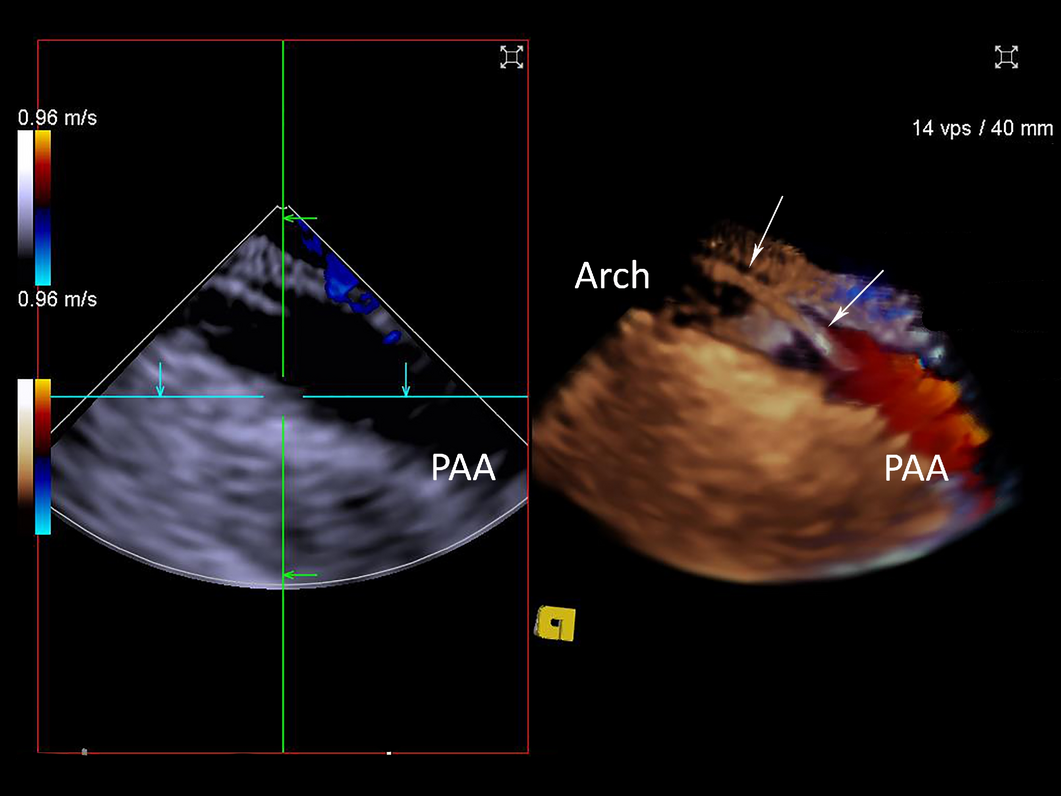
2D ICE (left panel) and 3D ICE Colour Doppler (right panel). Systolic aortic flow is demonstrated in the proximal aortic arch (PAA). The guidewire (white arrows) is clearly visualised within the aortic arch with 3D ICE imaging.

2D ICE (left panel) and 3D ICE Colour Doppler (right panel). Systolic aortic flow is demonstrated in the proximal aortic arch (PAA). The guidewire (white arrows) is clearly visualised within the aortic arch with 3D ICE imaging.