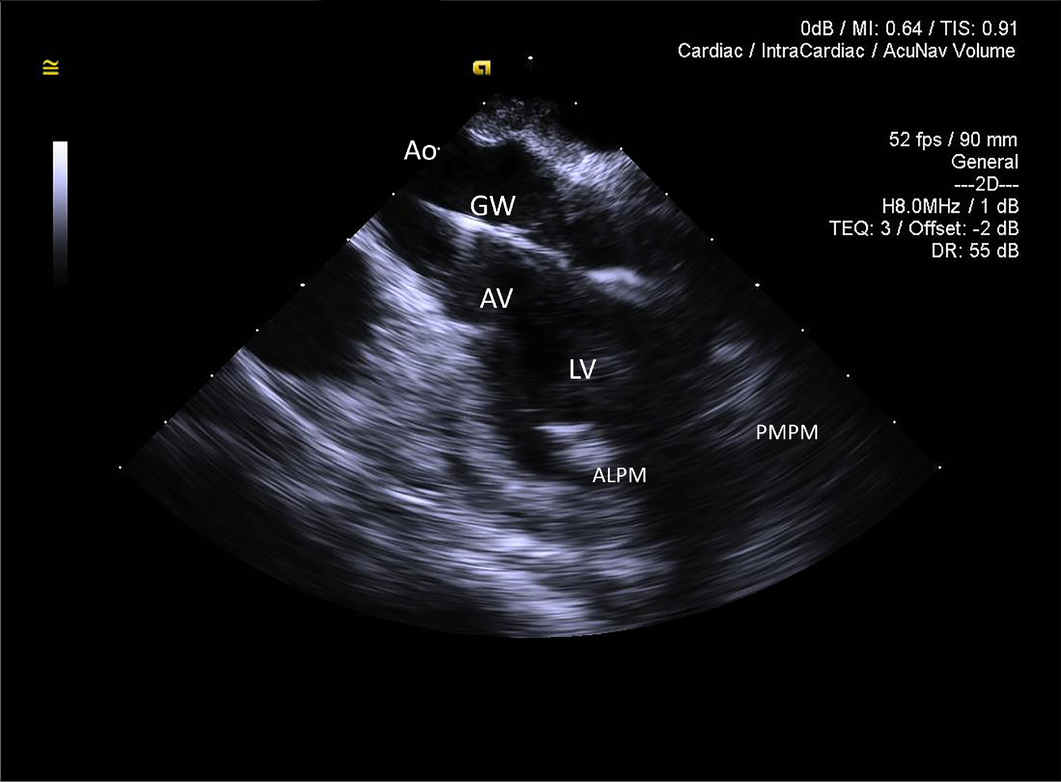
Figure 7

2D ICE long-axis image of the ascending aorta (Ao), aortic valve (AV) and left ventricle (LV). Both papillary muscles are imaged (ALPM anterolateral papillary muscle, PMPM posteromedial papillary muscle). The Impella guidewire (GW) is seen traversing aortic valve and entering left ventricular cavity. The tip of the guidewire is off-plane, creating false impression that the guidewire is terminating in mid-LV cavity.