Figure 6
From: Distinct expression profiles of peptides in placentae from preeclampsia and normal pregnancies

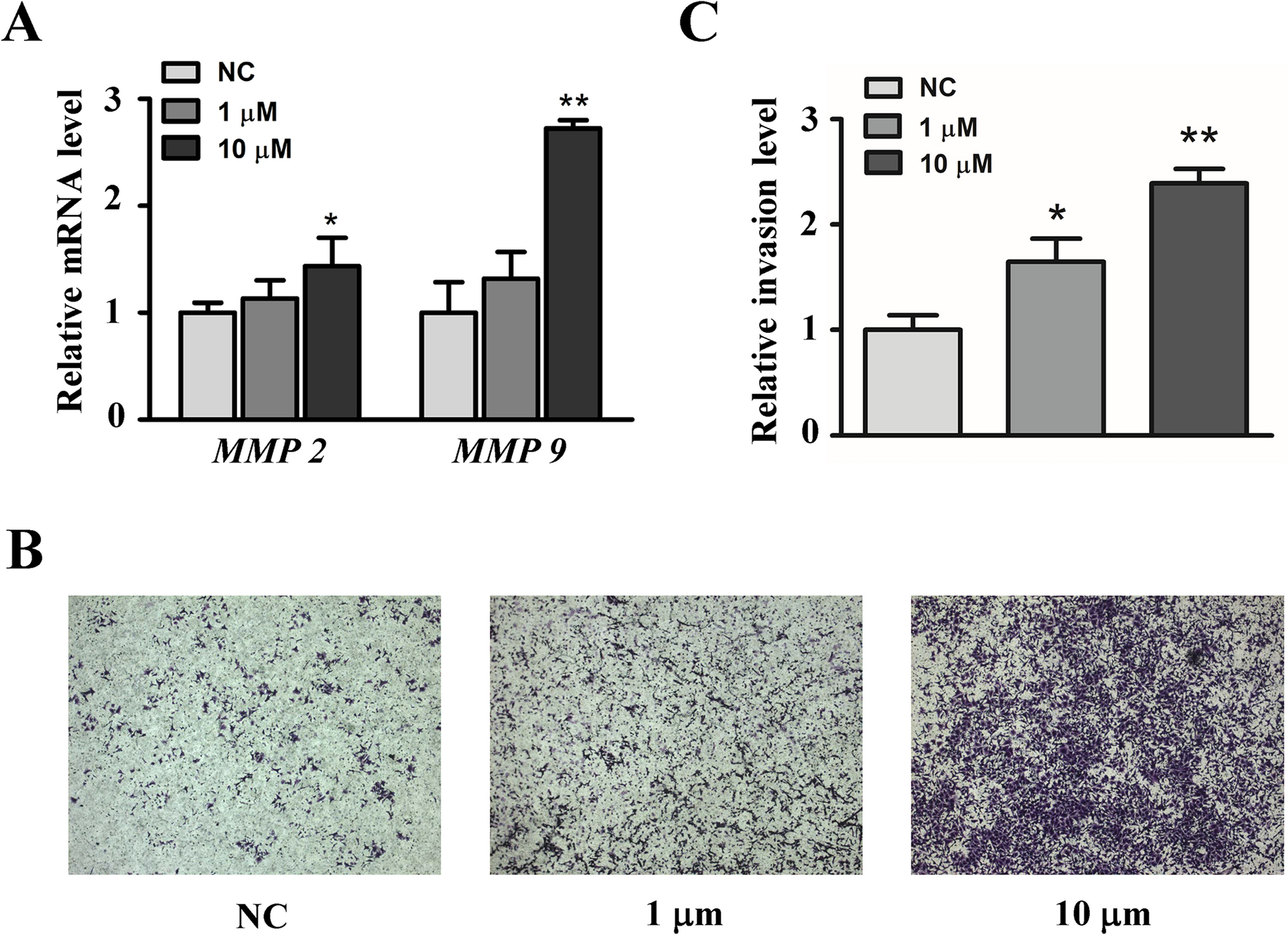
Function analysis of the peptide “DQSATALHFLGRVANPLSTA.” (A) Quantitative PCR, (B,C) Transwell assay. NC negative control.
From: Distinct expression profiles of peptides in placentae from preeclampsia and normal pregnancies

Function analysis of the peptide “DQSATALHFLGRVANPLSTA.” (A) Quantitative PCR, (B,C) Transwell assay. NC negative control.