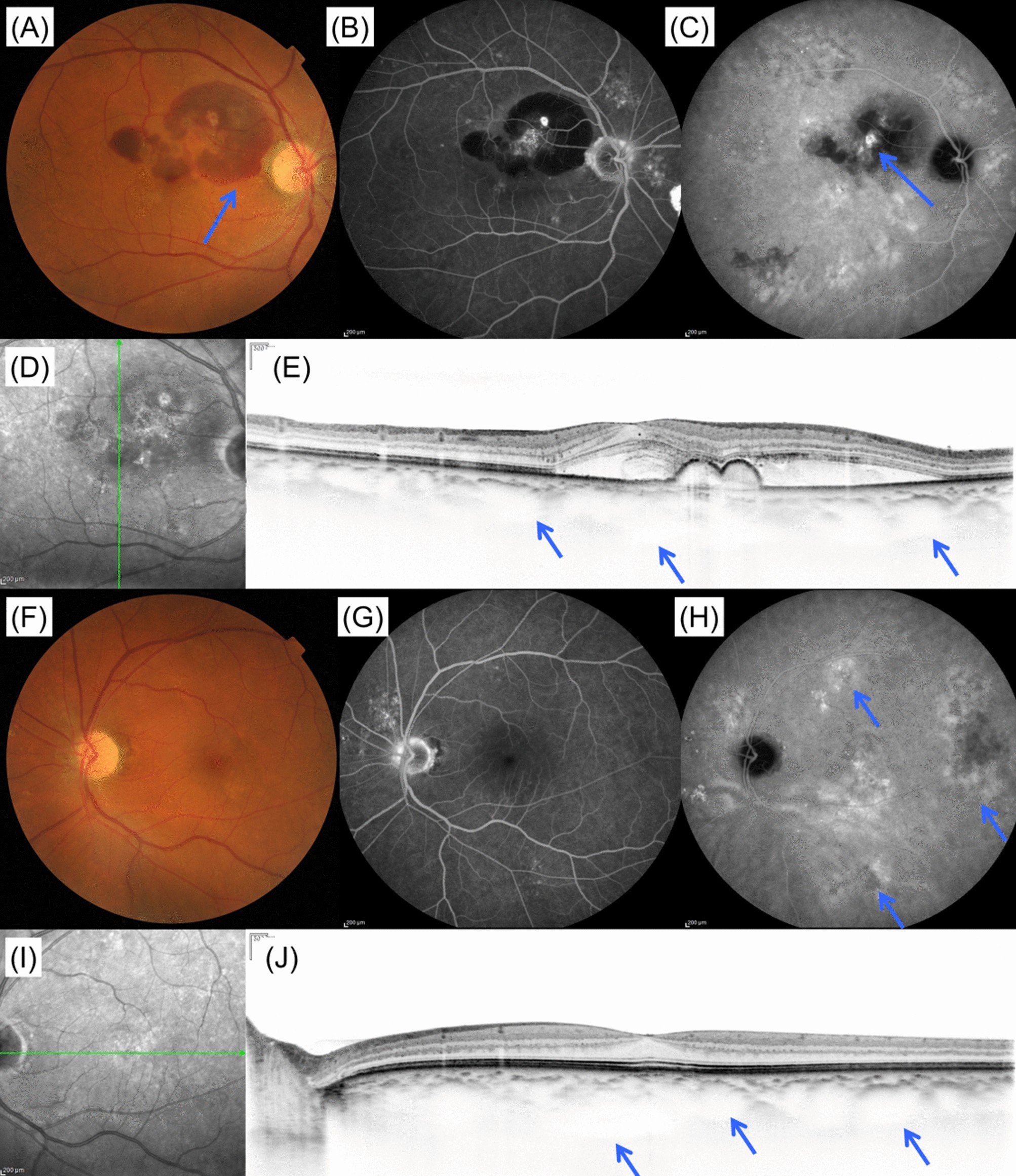
Figure 5

A case of high CNV score corresponding to PNV-type patient. A 66-year-old male patient was visually impaired in the right eye. Images from the right eye (A–D) and left eye (E–I). (A) Color fundus photograph shows subretinal hemorrhage within macular region (blue arrow). (B) Fluorescein angiography image shows leakage within the region of subretinal hemorrhage. (C) Late phase of indocyanine green angiography image shows a polypoidal lesion (blue arrow). Choroidal vascular hyperpermeability spots were also observed around the macular region. (D) Infrared reflectance image of right eye. (E) Foveal vertical EDI OCT scan shows diffusely thickened choroid and pigment epithelial detachment. Dilated choroidal vessels were also observed (blue arrows). Subfoveal choroidal thickness was 508 μm and retinal thickness was 455 μm. (F) Color fundus photograph shows no CNV. (G) Fluorescein angiography image shows no leakage. (H) Late phase of indocyanine green angiography image shows multiple choroidal vascular hyperpermeability spots (blue arrows). (I) Infrared reflectance image of left eye. (J) Foveal horizontal EDI OCT scan shows diffusely thickened choroid and dilated choroidal vessels (blue arrows). Subfoveal choroidal thickness was 503 μm and retinal thickness was 262 μm. CNV score for this patient was 7.656, which indicating PNV. CNV choroidal neovascularization, EDI enhanced depth imaging, OCT optical coherence tomography, PNV pachychoroid neovasculopathy.