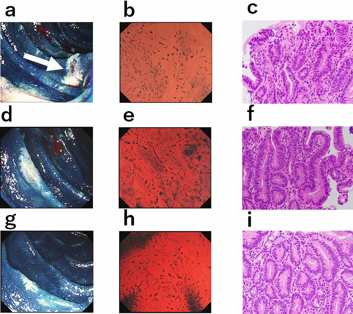
Figure 4

Multiple duodenal neoplasms in a familial adenomatous polyposis patient. All lesions were observed in the same patient. (a) A 7-mm flat-type unstained area (arrow). (b) Maximum magnification of the ECS (× 500) reveals some enlarged oval-shaped nuclei admixed among spindle-shaped nuclei. (c) Histologically, this lesion was diagnosed as duodenal cancer (×400). (d) A 7-mm flat-type unstained area. (e) ECS at maximum magnification (×500) reveals some enlarged oval-shaped nuclei admixed among spindle-shaped nuclei. (f) Histologically, this lesion was diagnosed as high-grade tubulovillous adenoma (×400). (g) A 5-mm flat-type unstained area. (h) ECS at maximum magnification (×500) reveals only spindle-shaped nuclei with duct openings. (i) Histologically, this lesion was diagnosed as low-grade tubular adenoma (×200).