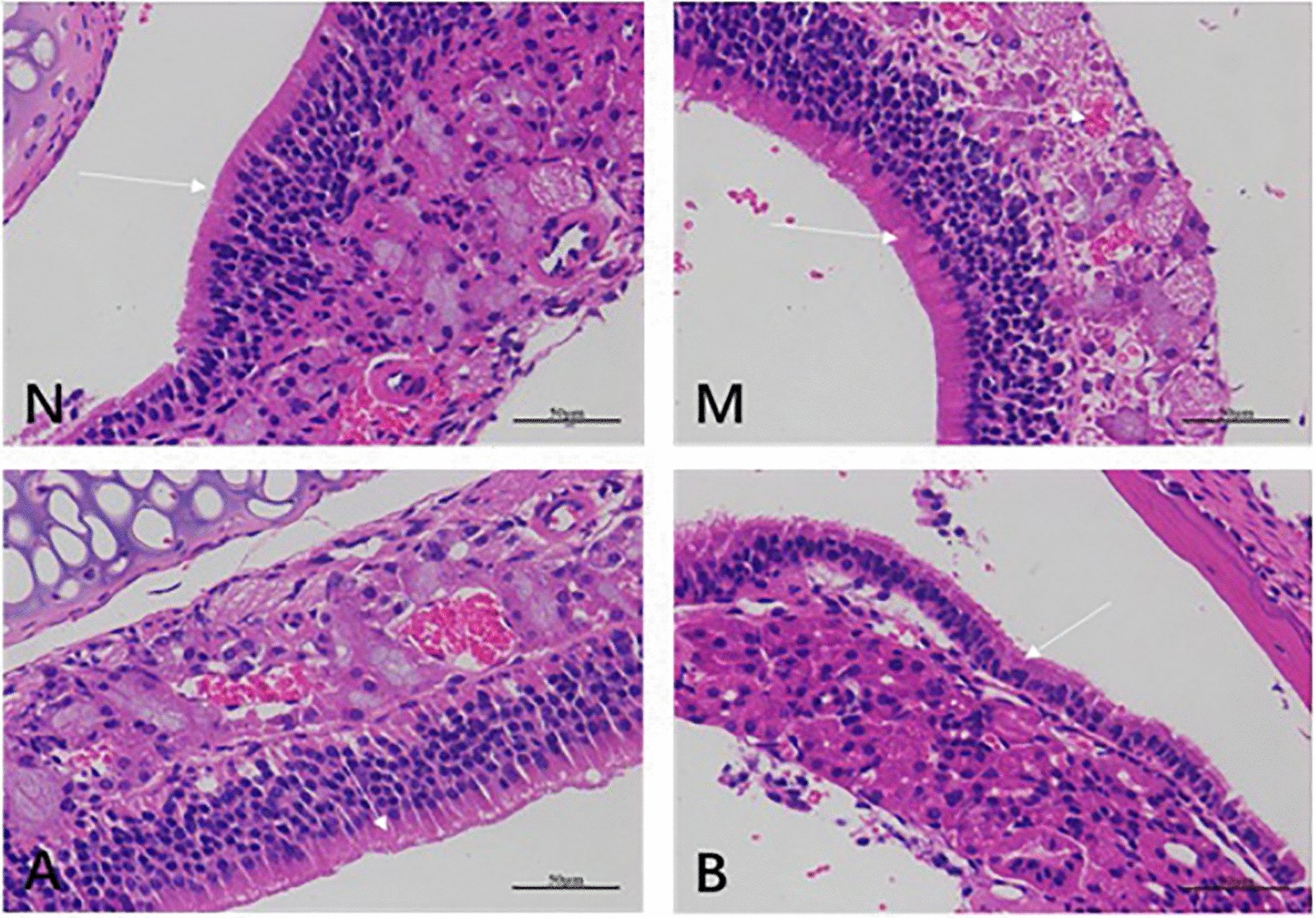
Figure 11

HE staining of the nasal mucosa of the four groups of mice (× 400). Group N consisted of healthy mice. Group M was the mouse AR model control group, which showed obvious vascular proliferation, as shown by the white arrows in the images. Groups A and B were the mouse AR model treatment groups. Groups B has more inflammatory cells than A group. It shows that the treatment effect of group A is better than group B.