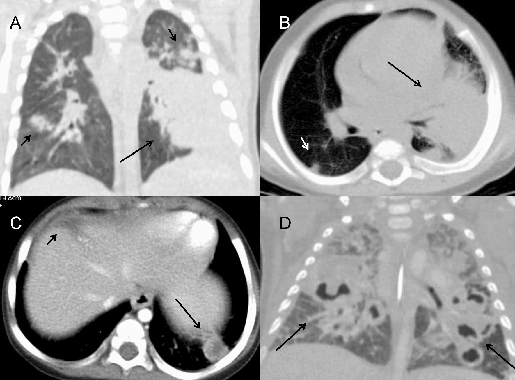
Figure 4

Bacterial infection in CGD patients. (A,B) A 5-month-old boy with klebsiella pneumoniae infection showed a large area of consolidation in the left lower lobe on axial and coronal reformat CT images (long arrow). Multiple nodular lesions in the bilateral lung fields were found (short arrow). (C) A 1-year-old boy with Staphylococcus aureus infection. Chest CT showed the small nodular lesion with abscess inside in left lower lobe (long arrow). The low-attenuated lesion in the left lobe of liver was seen, suggesting the possibility of hepatic abscess (short arrow). (D) A 1-year-old boy with Staphylococcus aureus infection. On CT, masses and patchy consolidations were found in the bilateral lung fields with multiple small cavities formation (long arrow).