Figure 4
From: Characterization of Plasmodium falciparum NEDD8 and identification of cullins as its substrates

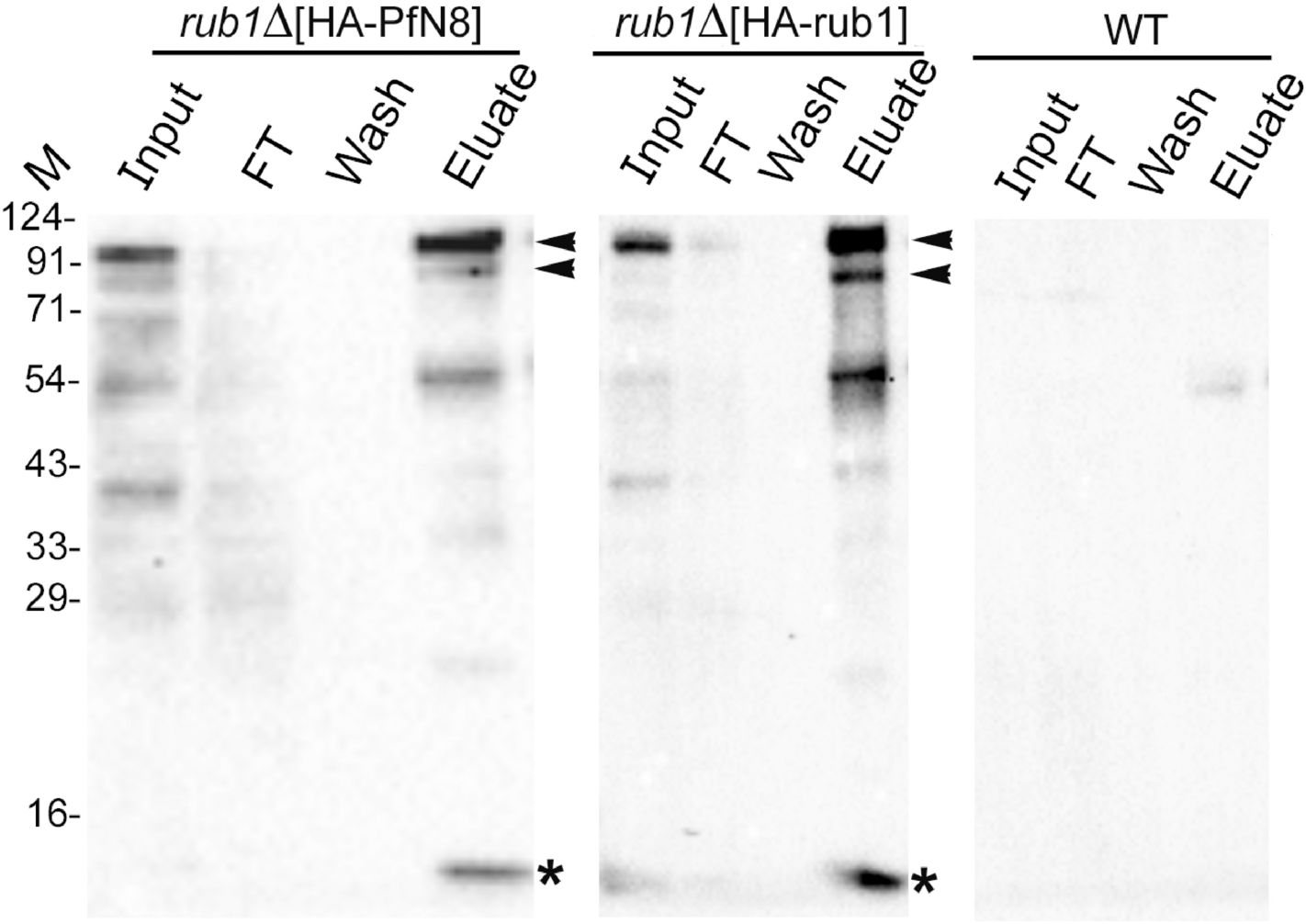
Immunoprecipitation of PfNEDD8 and Rub1 from complemented strains. The lysates of rub1∆[HA-PfN8], rub1∆[HA-rub1] and wild type (WT) strains were immunoprecipitated with mouse anti-HA antibody. The eluates (Eluate) along with the extract (Input), flow-through (FT) and wash (Wash) were analyzed by western blotting using rabbit anti-HA antibodies. The eluate lanes contain the respective target protein (indicated by an asterisk) and two prominent high molecular weight bands (indicated by arrowheads). The sizes of protein size markers are in kDa (M).