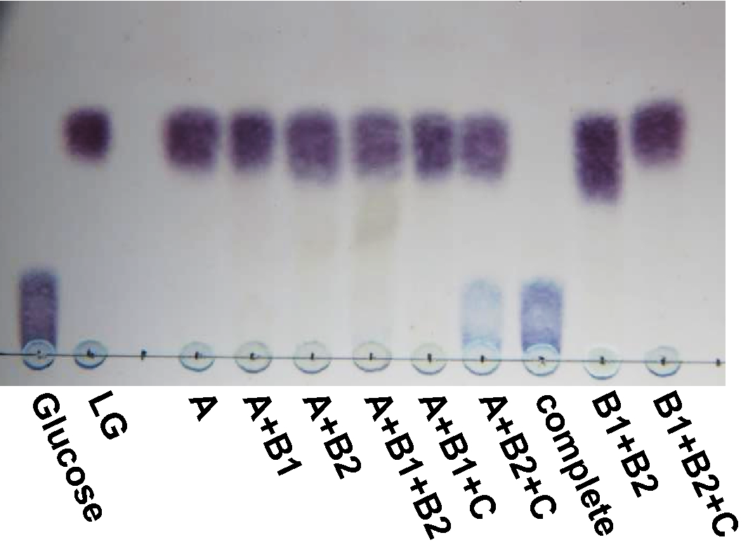
Figure 2

Enzyme reactions with Lgd proteins using LG as the substrate. The reaction mixture containing 50 mM HEPES-NaOH (pH 7.5), 0.1% LG, 1 mM β-NAD+, 1 mM MnCl2·4H2O, 10 mM 2-ME, and appropriate amount of the recombinant protein(s) were incubated at 30 °C for 15 h. Ten microliters of the reaction mixture were used for TLC analysis. A, B1, B2, and C in the figure represent LgdA, LgdB1, LgdB2, and LgdC, respectively.