Figure 4
From: Imaging atelectrauma in Ventilator-Induced Lung Injury using 4D X-ray microscopy

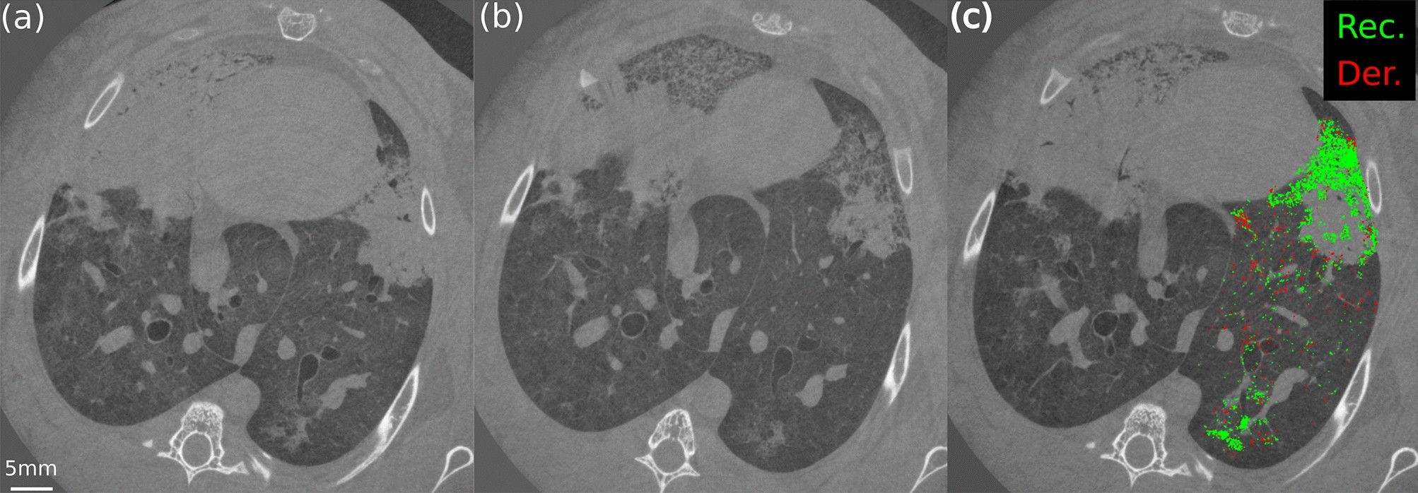
In vivo dynamic CT of Rabbit-1 at minimum pressure at the beginning of inspiration (5 cmH2O) (a) and at maximum pressure at the end of the inspiration (25 cmH2O ) (b). In (c) a 2D projection of the recruitment (Rec., green) and derecruitment (Der., red) as identified by the algorithm in the left lung, superimposed to one CT slice as a reference. (c) represents the time instant, during the respiratory cycle, where maximum recruitment was observed.