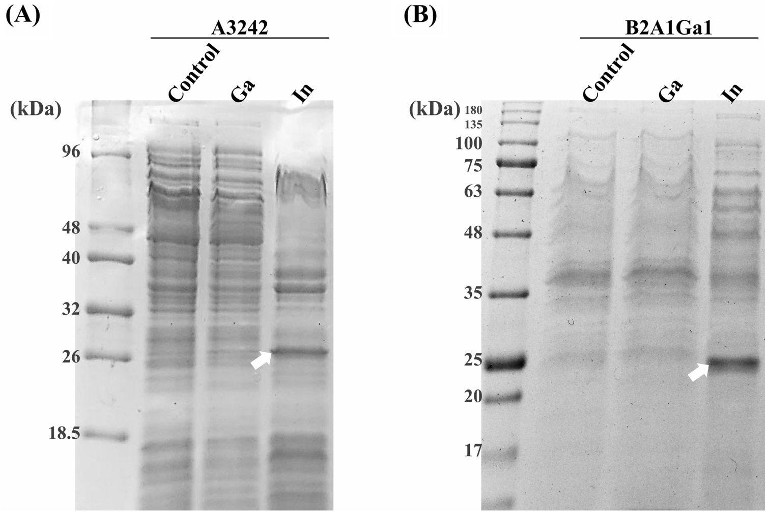
Figure 1

SDS-PAGE (12%) of the protein profile of bacteria grown without and with metals (0.4 mM Ga and 0.2 mM In): (A) M—low molecular weight protein marker (NZYTech), 1—A3242 control, 2—A3242 with Ga, 3—A3242 with In; (B) M—NZYColour protein marker II (NZYTech), 1—B2A1Ga1 control, 2—B2A1Ga1 with Ga, 3—B2A1Ga1 with In. The overexpressed protein band was marked with arrow.