Figure 5

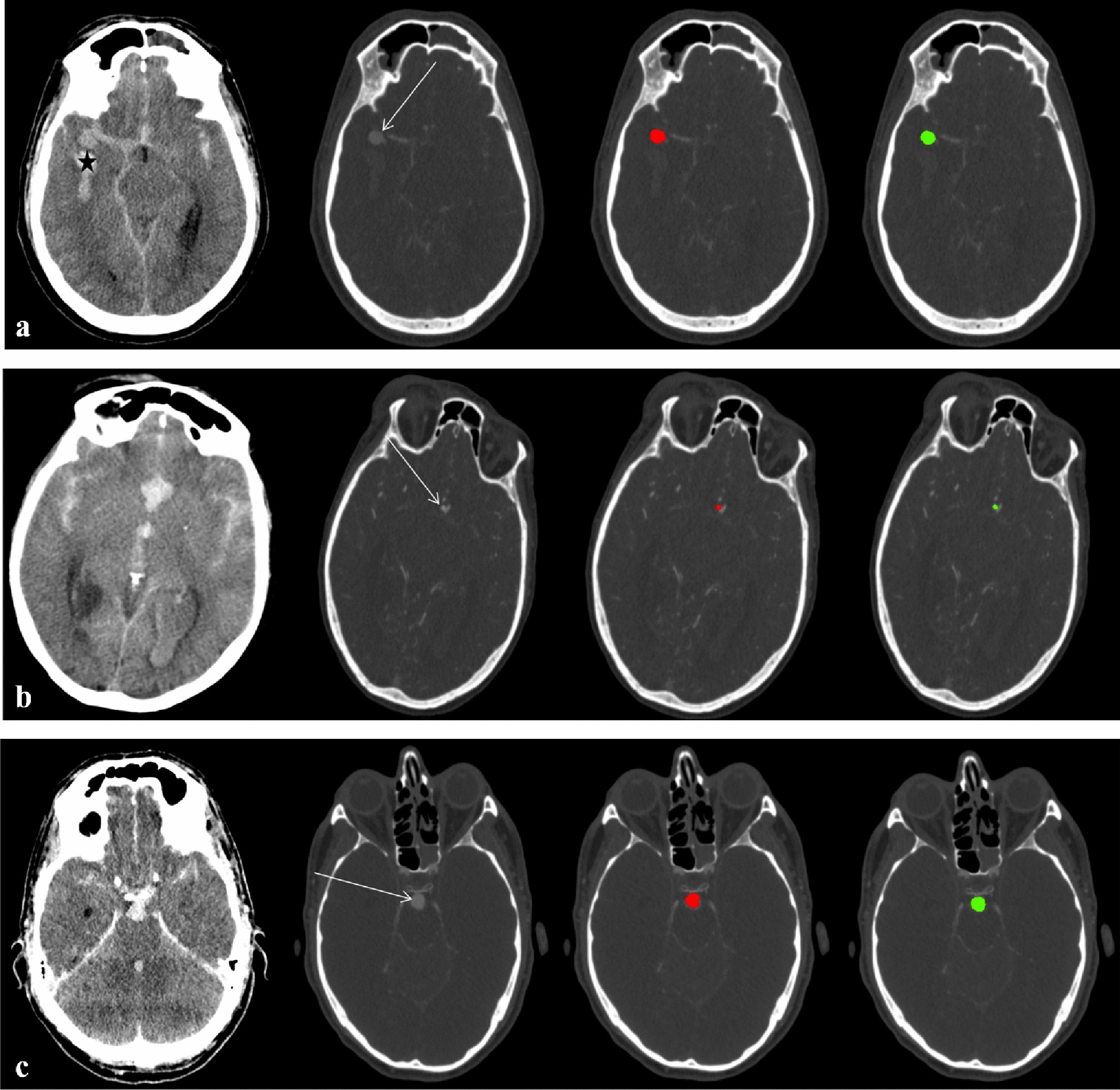
source images. The DLM-Ens (green) detects and segments the aneurysm (volume based on manual segmentation: 424.7 mm3) with high overlap (DSC of 0.94) compared to manual segmentations (red). (b) Sixty-three-year-old female with aSAH on axial unenhanced CT and an anterior communicating artery aneurysm (arrow) on axial CTA source images. Albeit being of small size (volume based on manual segmentation: 25.5 mm3), the DLM-Ens (green) detects and segments (DSC of 0.72) the aneurysm with high overlap compared to manual segmentations (red). (c) Fifty-one-year-old male with aSAH on axial unenhanced CT and a large basilar tip aneurysm (arrow; volume based on manual segmentation 419.6 mm3) on axial CTA source images. Compared to manual segmentations (red), the DLM-Ens (green) provides accurate detection and segmentation (DSC of 0.90).
(a) Fifty-one-year-old male with Fisher 4 bleeding (* = intraventricular bleeding on axial unenhanced CT) and an aneurysm of the right middle cerebral artery (arrow) on axial CTA