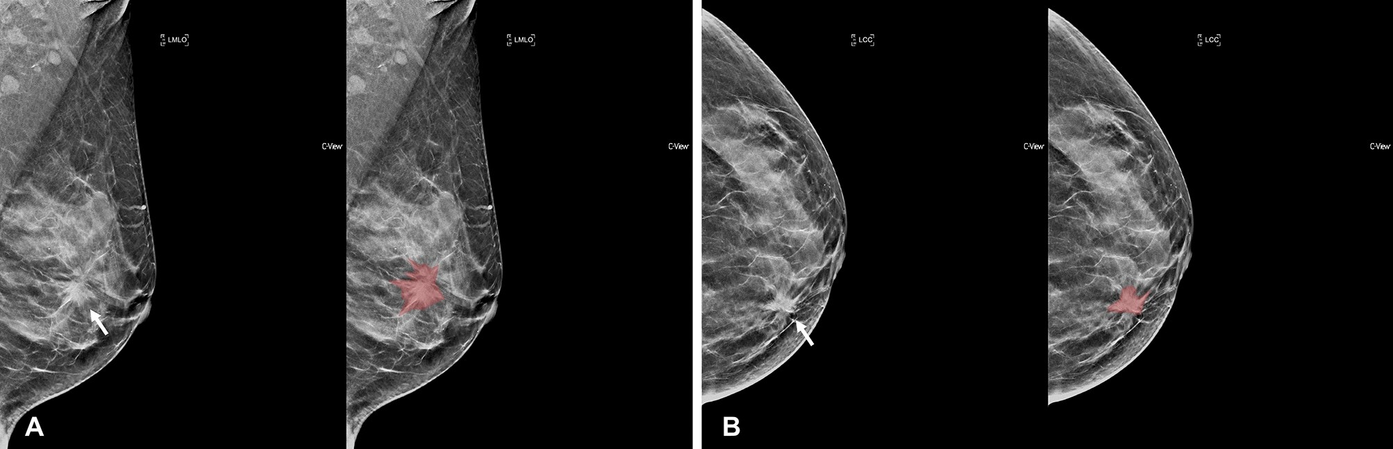
Figure 3

Segmentation example 2. Example of tumor segmentation on synthetic mammography. The synthetic mediolateral oblique (A) and craniocaudal (B) views of a 47-year-old female diagnosed with the luminal subtype of breast cancer. The breast lesion appears as a spiculated mass with architectural distortion (arrow).