Figure 2
From: Modulation of cAMP metabolism for CFTR potentiation in human airway epithelial cells

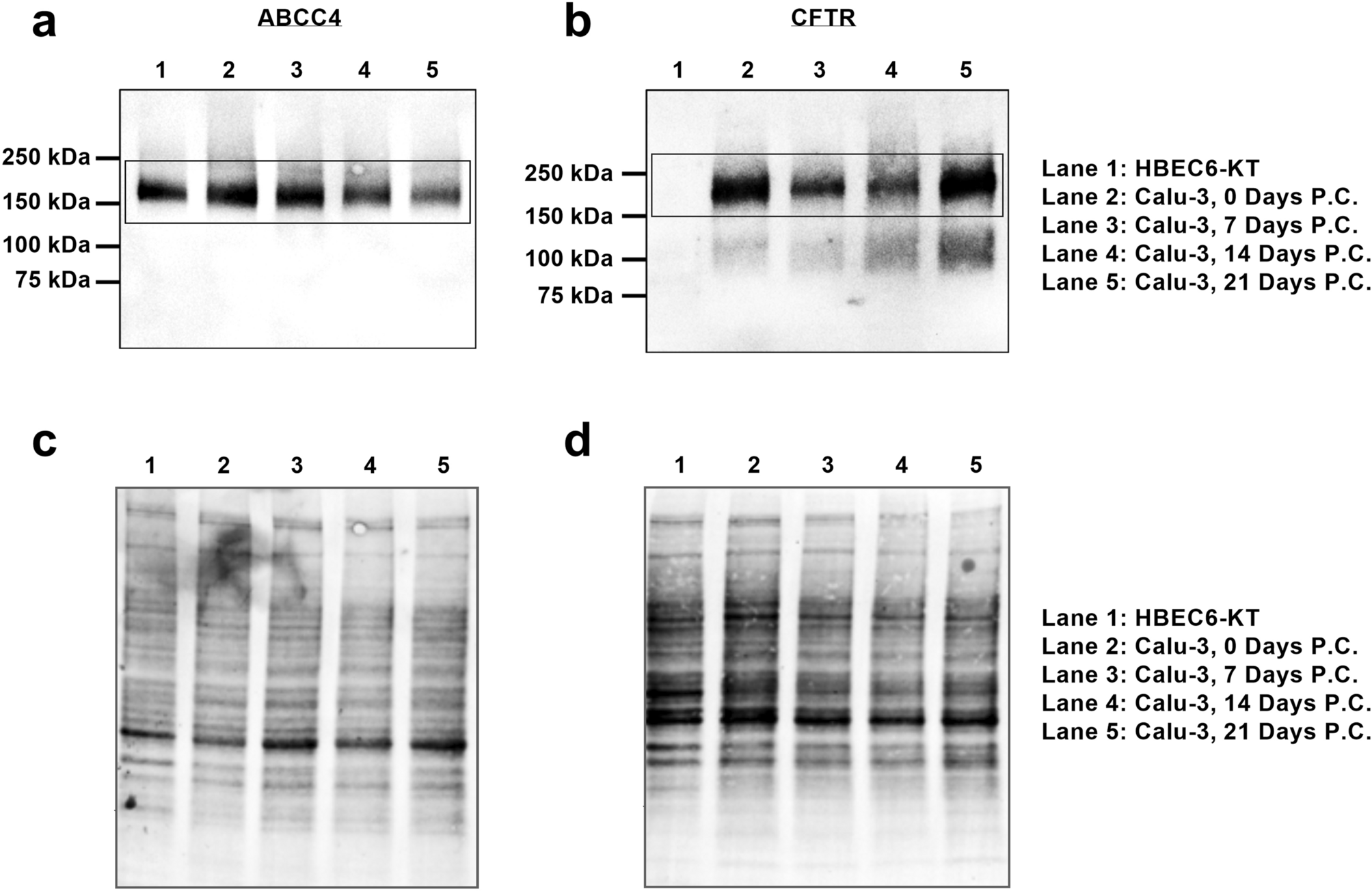
Characterization of ABCC4 and CFTR protein expression in two human airway epithelial cell lines. (a) ABCC4 and (b) CFTR in both HBEC6-KT and Calu-3 cells. For Calu-3 cells, extracts were retrieved at several different time points post-confluence (P.C.). (a) ABCC4 was detected in both HBEC6-KT and Calu-3 cells and (b) CFTR was only detected in Calu-3 cells. A total protein stain was performed as the loading control for (c) ABCC4 and (d) CFTR blots. Full-length blots are presented in Supplementary Fig. 4.