Figure 2
From: A novel human ex vivo skin model to study early local responses to burn injuries

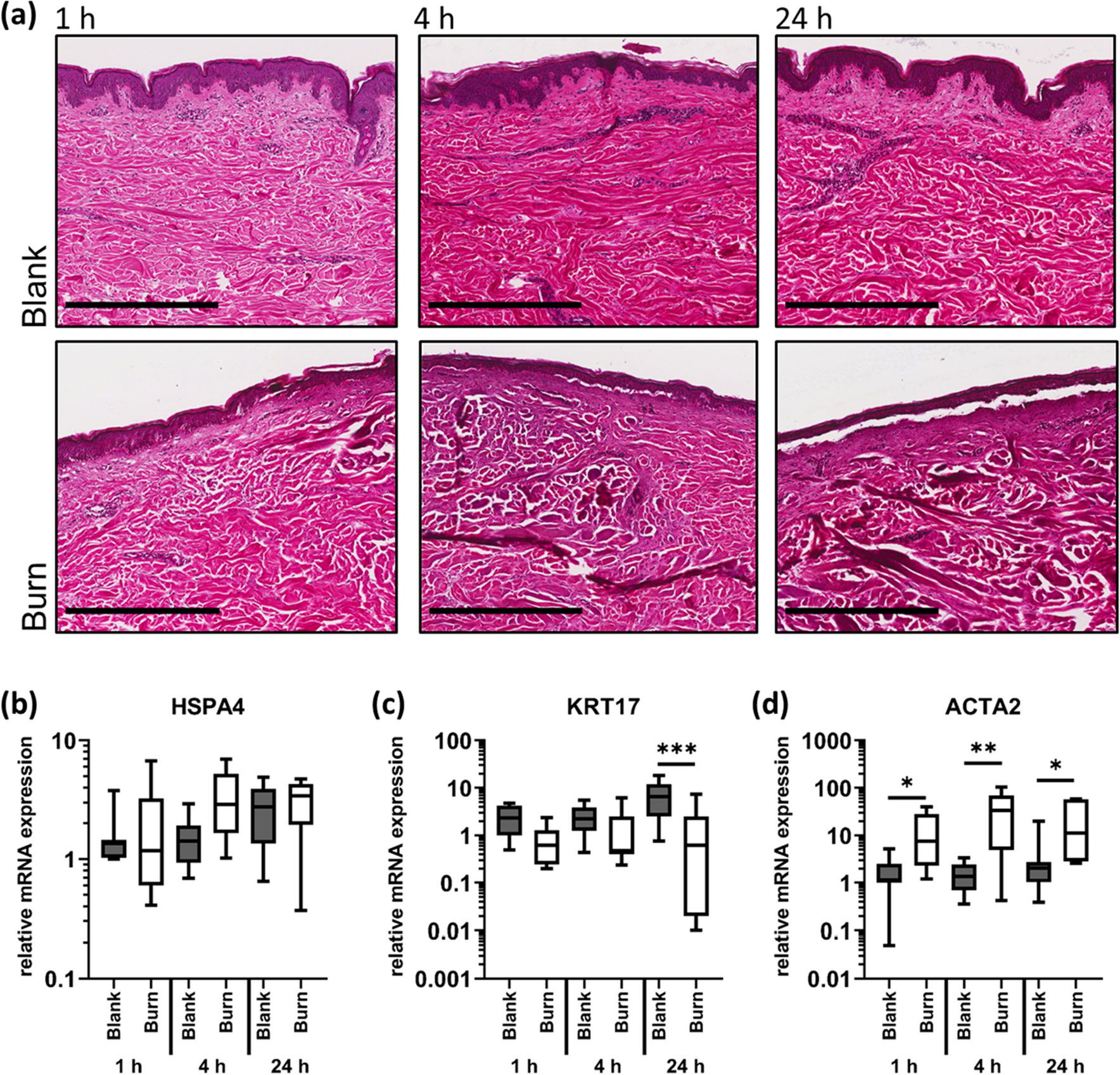
Partial thickness burns affect the expression of HSPA4, KRT17 and ACTA2. Contact burn injuries were created on fresh human skin explants by applying a heated metal block (100 °C). Biopsies were collected after 1, 4 and 24 h. (a) Histology confirmed a partial thickness burn pathology. Scale bar = 500 µm. Relative mRNA expression levels of (b) HSPA4, (c) KRT17, and (d) ACTA2 were determined by RT-qPCR, normalizing target gene expression to the averaged expression of RPLP0 and TBP. Data are presented as median (line) the interquartile range (box) and the minimum and maximum values (whiskers) from three individual skin explants. P-values < 0.05 were considered as statistically significant with *, **, *** indicating p < 0.05, p < 0.01, and p < 0.001, respectively (dependent on normal distribution ANOVA or Kruskal–Wallis test).