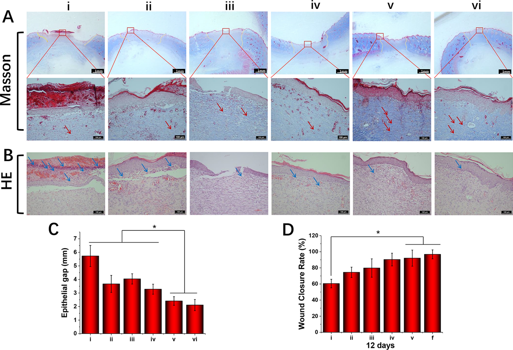
Figure 9

Histological staining evaluation of wound regeneration for (i) PLGA, (ii) PLGA/NAT-Os, (iii) PLGA/Os-DA, (iv) PLGA/NAT-IGF1, (v) PLGA/IGF1-DA and (vi) PLGA/Os-DA/IGF1-DA electrospun fibrous scaffolds: (A) masson staining images, yellow dotted lines indicate the epithelial gaps, and red arrows indicate collagen fibres; (B) H&E staining images, blue arrows indicate neutrophils; (C) epithelial gaps; (D) wound closure rate on day 12, n = 4, one-way ANOVA with Tukey’s test was used to determine significance (*p < 0.05).