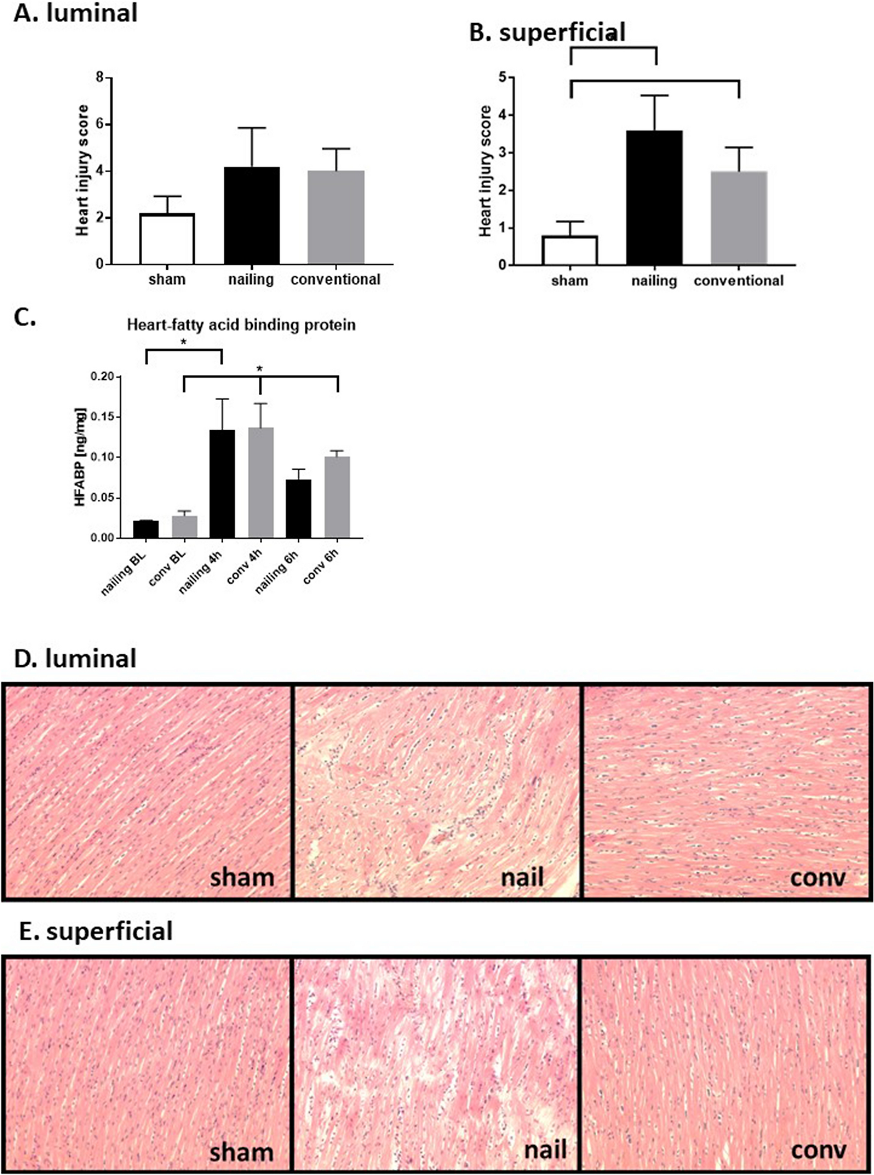
Figure 5

Cardiac damage after multiple trauma in pigs measured by echocardiography. (A,B) Heart injury score reflecting histomorphological sections of H.E. stained sections of the left ventricle 6 h after trauma, scored for apoptosis, contraction band necrosis, neutrophilic infiltration, intramuscular bleeding, rupture, edema and ischemia, *p < 0.05, n = 5 in each group compared to sham treated animals. (C) Heart-fatty acid binding protein (HFABP) in ng/ml detected in both subgroups at BL, 4 h and 6 h after multiple trauma. (D) Representative images of H.E: stained sections from the luminal left ventricle. (E) Representative Images of the superficial issue layers stained by H.E. *p < 0.05 compared to baseline, n = 5 in each group.