Figure 3
From: Response of Lactobacillus plantarum VAL6 to challenges of pH and sodium chloride stresses

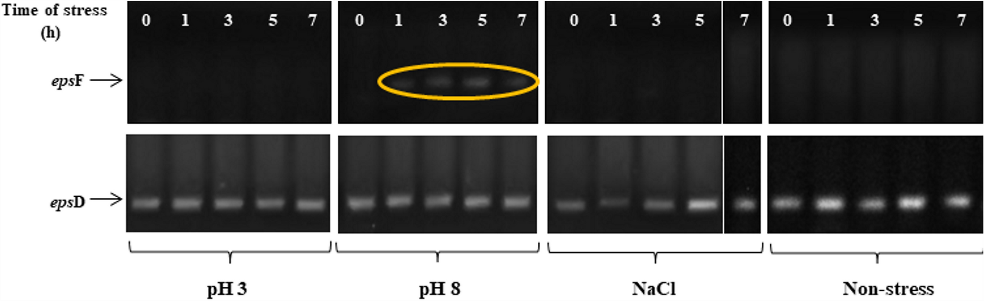
The expression of epsF and epsD gene under stress conditions of pH 3, pH 8, NaCl and non-stress. The non-stress control was maintained at 37 °C, pH 6.8 and without sodium chloride for the entire time. Full-length gels are presented in Supplementary Fig. S3.