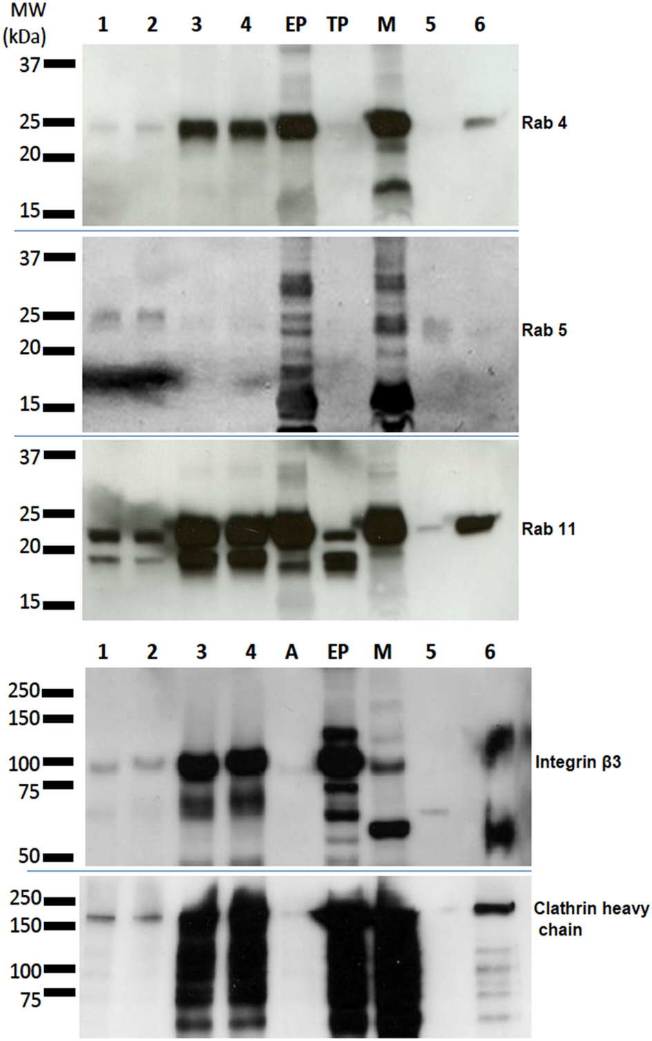
Figure 2

Components of clathrin-mediated endocytosis are O-GlcNAc modified. Western blot analysis of O-GlcNAc-modified proteins isolated by sWGA-lectin pulldown from term placenta lysates (n = 6; pooled) obtained from mothers with T2D (1), or BMI-matched control (2). The remaining supernatants, depleted of O-GlcNAc proteins (lanes 3 and 4, respectively). (A) Plain, unconjugated agarose beads exposed to tissue lysate and precipitate were used as a negative control, loaded to show any nonspecific binding. Three positive controls (40 μg each): (EP) first trimester human placenta (TP) term human placenta and (M) mouse brain were loaded to demonstrate the specificity of the primary antibodies. Lane (5) BeWo lysate, from control untreated cells, following sWGA-lectin enrichment and (6) depleted BeWo supernatant. Membranes were probed with antibodies specific for RAB4, RAB5, RAB11, integrin β3 and clathrin heavy chain. Full blots are shown in Supplementary Fig. S3.