Figure 1

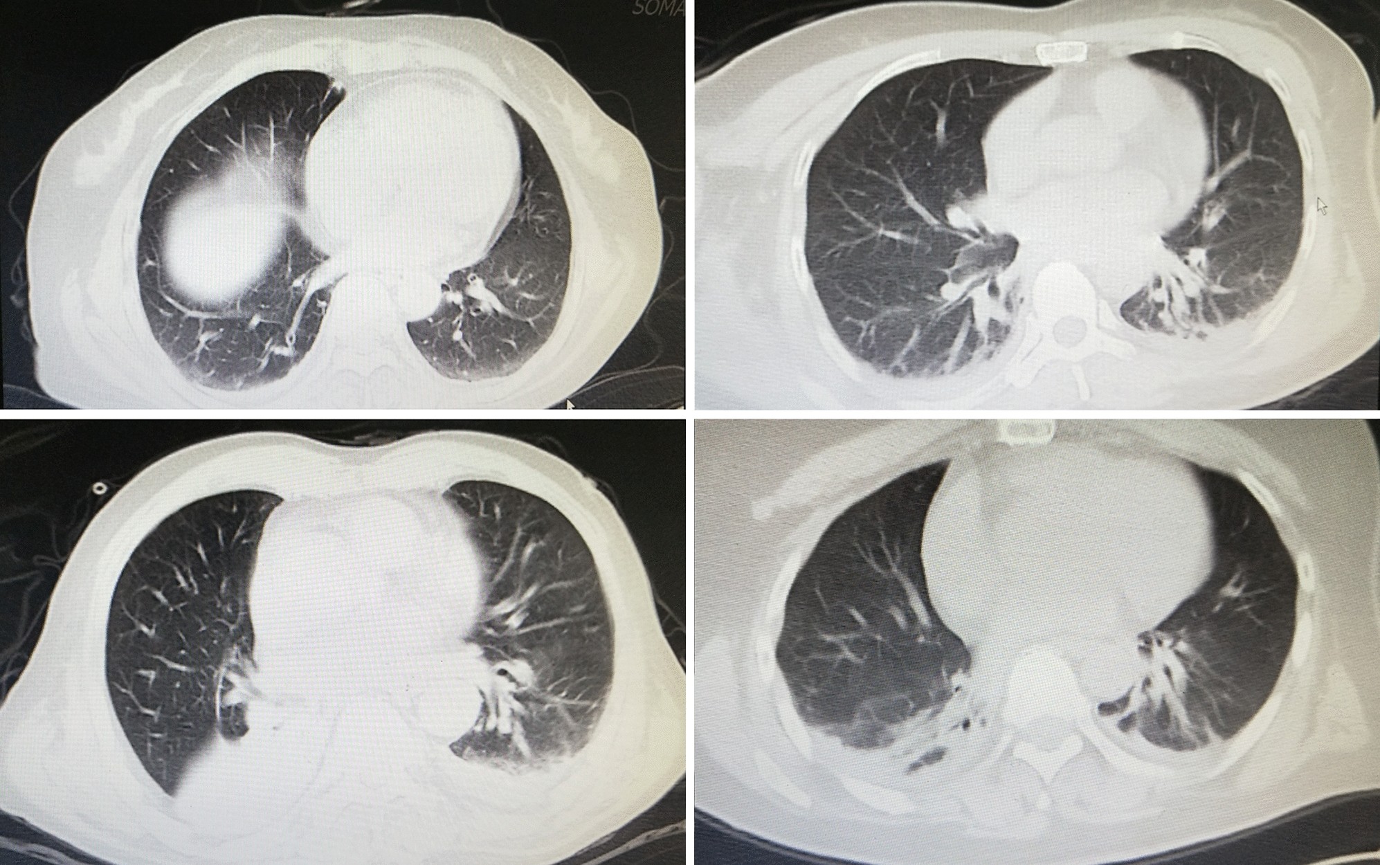
The first postoperative chest CT image showed bilateral pulmonary imaging abnormalities after craniotomy of brain tumor.

The first postoperative chest CT image showed bilateral pulmonary imaging abnormalities after craniotomy of brain tumor.