Figure 3
From: Biomarkers of persistent renal vulnerability after acute kidney injury recovery

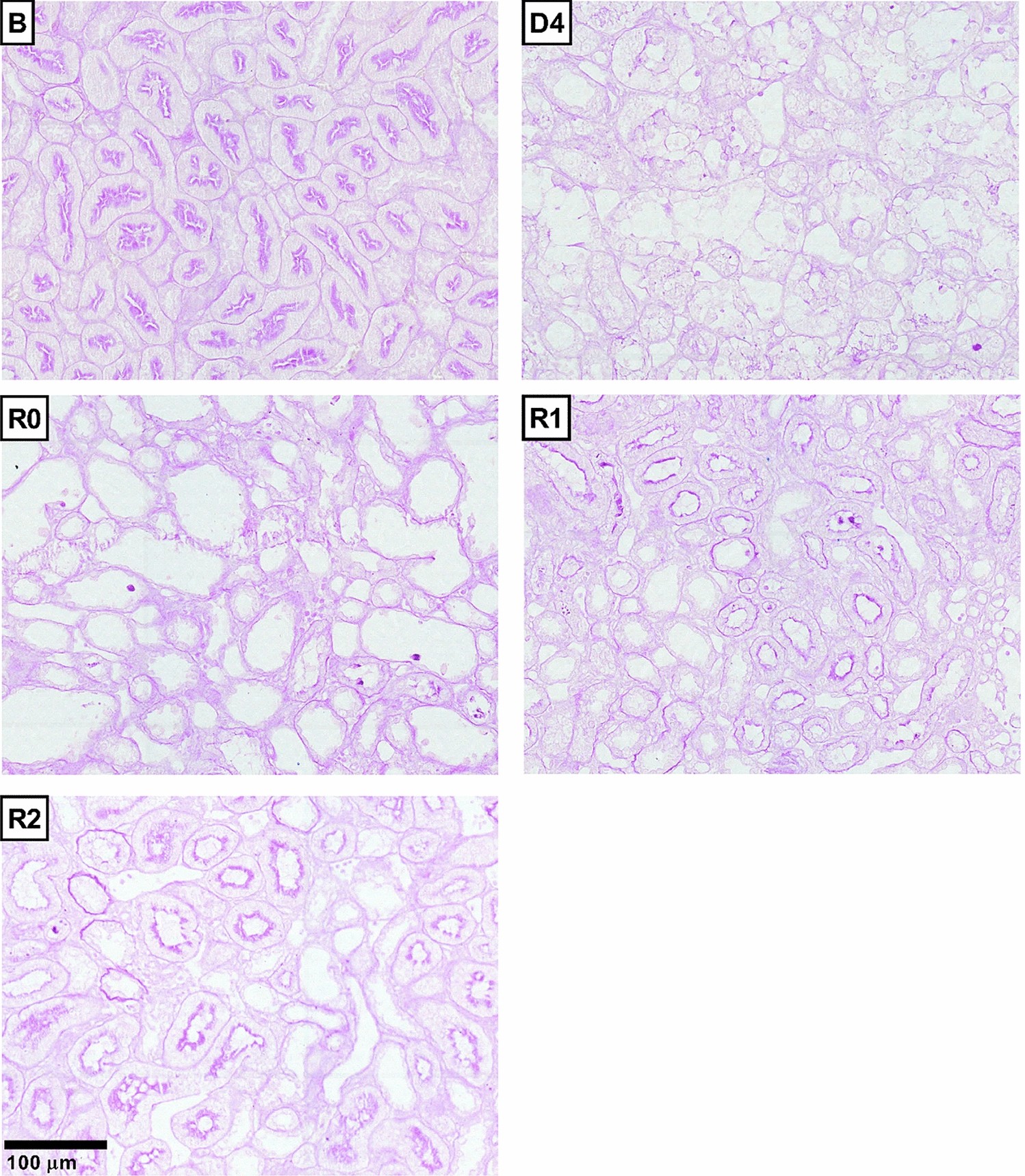
Renal histology: brush border membrane disorganization. Periodic Acid-Schiff staining in control group, D4, R0, R1 and R2.
From: Biomarkers of persistent renal vulnerability after acute kidney injury recovery

Renal histology: brush border membrane disorganization. Periodic Acid-Schiff staining in control group, D4, R0, R1 and R2.